Ключ от гробницы

Каждый год примерно шесть тысяч человек слышат от врача диагноз «боковой амиотрофический склероз» (БАС). Это значит, что их тела станут в буквальном смысле гробницей, стены которой будут постепенно сжиматься: в конце концов паралич распространится настолько, что человек больше не сможет дышать. Так умерли Лу Гериг, Мао Цзедун и Стивен Хокинг. За последние сто лет мы прошли путь от полного непонимания того, почему такое происходит, к клиническим испытаниям препаратов: вчера были опубликованы предварительные отчеты о новых успехах — пока, правда, все еще сомнительных — но уже они позволяют ученым говорить о «начале генной терапии БАС». N + 1 разбирается, что именно пытаются «чинить» новые лекарства и объясняет, какой был прок медицине от того, что несколько лет назад весь мир весело опрокидывал на себя ведра с ледяной водой.
«Лечения не существует. Шансы сохранить меня таким, какой я есть, 50 на 50. Возможно, лет через 10 мне понадобится трость», — писал в 1939 году «Железный конь», легенда американского бейсбола, своей жене из клиники Мэйо. Спортсмену было всего 36, а через два года он скончался, потеряв способность не только ходить, но даже подписывать документы без помощи жены. Тогда уже было известно, что дело в прогрессирующей гибели двигательных (моторных) нейронов головного и спинного мозга, но причина ее оставалась неясна. «Дело, наверно, в каком-то микробе, — рассказывал он в том же письме. — Но никто не слышал, чтобы это передавалось между супругами».
Через 35 лет тот же диагноз получил 80-летний диктатор. К тому времени версию о микробах-возбудителях всерьез уже не рассматривали, а нейродегенерацию считали одним из проявлений старения нервной системы. Было понятно, что в ткани мозга появляются какие-то бляшки — как при болезни Альцгеймера или Паркинсона — которые и вызывают прогрессирующий паралич. Именно эти бляшки, тогда еще неясной природы, за десять лет превратили бодрого старика, который и в 72 года переплывал Янцзы, — в безнадежного пациента, который мог дышать, только лежа на боку. От диагноза до смерти, как и в случае с бейсболистом, прошло около двух лет.
Британскому астрофизику повезло больше. Свой приговор он услышал еще до того, как его собрат по несчастью пересек Янцзы в последний раз, но болезнь остановилась в полушаге от летального финиша. Медленно теряя подвижность головы, ученый прожил еще 55 лет, стал иконой научпопа и новым символом своей болезни. За это время стало понятно, что агрегаты в мозге состоят из белков, у этих белков появились имена, а на горизонте замаячили возможные гены-виновники. Полсотни клинических испытаний лекарств стартовали и сошли с дистанции досрочно. Миллионы людей вылили на себя ведра ледяной воды, собирая деньги на исследование болезни. Но никто так и не понял, как ее лечить.
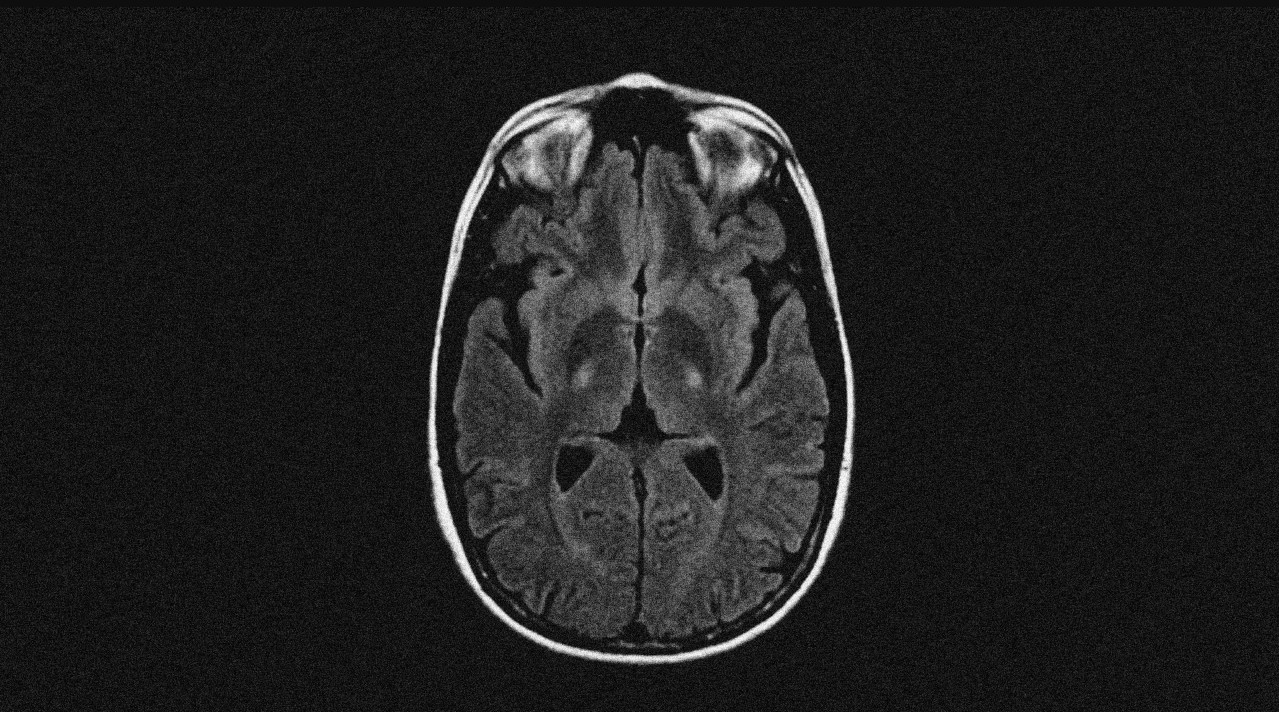
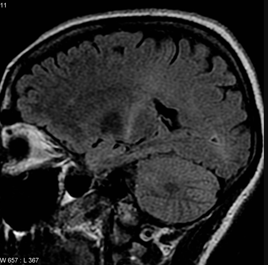
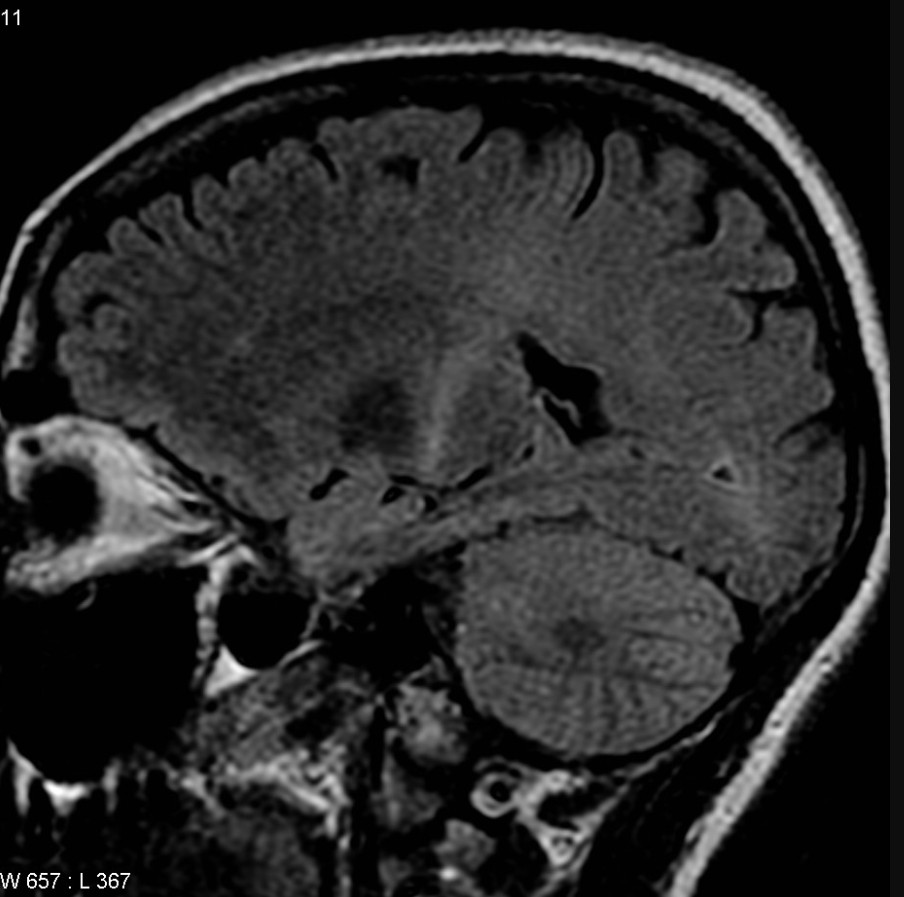
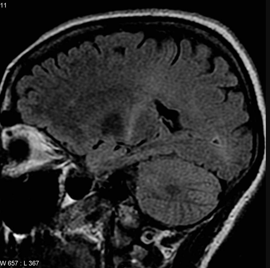
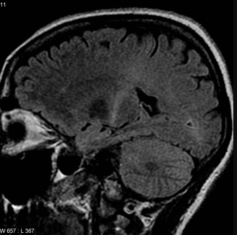
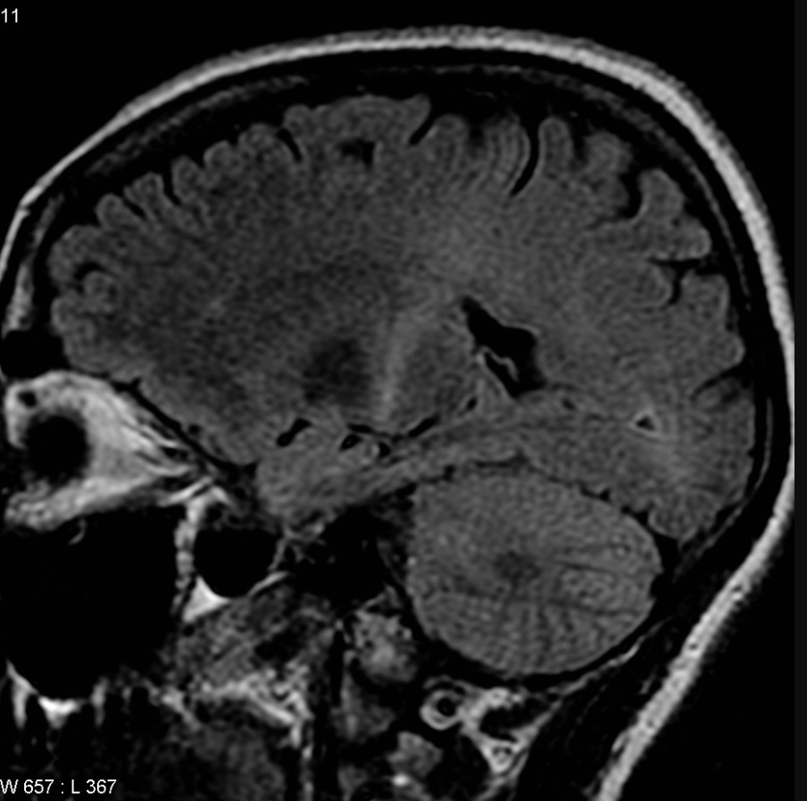
Боковой амиотрофический склероз (БАС), который погубил Лу Герига, Мао Цзэдуна и Стивена Хокинга — лишь одно из множества нейродегенеративных заболеваний, против которых человечество до сих пор бессильно. И хотя далеко не всегда БАС заканчивается деменцией, с болезнями Альцгеймера и Паркинсона его сравнивали не зря. Препятствия, которые отделяют нас от лекарства, во всех этих случаях примерно одни и те же: предсказать болезнь невозможно, диагностировать на ранних стадиях удается не всегда, причины многоообразны, а список их не полон.

Вдобавок к этому, повреждения быстро становятся необратимыми, поскольку нейроны, в отличие от множества других клеток, не так просто заменить на новые.
Как и в случае с болезнями Альцгеймера и Паркинсона, единственные лекарства, которые существуют от бокового амиотрофического склероза, помогают лишь компенсировать симптомы. В случае БАС, они блокируют либо избыточное выделение глутамата, ненадолго отдаляя гибель нейронов, либо подавляют окислительный стресс — но как это работает, не знают даже в FDA (американском Минздраве), где одобрили соответствующий препарат. Остановить нейродегенерацию не удалось пока никому.
И вот в последнем номере журнала The New England Journal of Medicine появились результаты двух новых клинических испытаний и обзор, который отмечает начало новой эры в схватке с непокорной болезнью. По мнению авторов обзора, мы наконец-то смогли прицелиться в самый корень амиотрофического склероза. А, значит, забрезжила надежда на успех. Тем удивительнее, что и мишень, и оружие для ее поражения давно известны: первая была открыта более 25 лет назад, второе — известно больше полувека. Но встретиться они смогли только сейчас.
