Закатать в биобанку
Кто и зачем в России собирает биологические материалы людей и животных

Если вы заболеете, то врач, скорее всего, попросит у вас биоматериал для постановки диагноза: понадобится сдать кровь, мочу, мазок из зева или соскоб кожи. Биологические материалы способны рассказать об организме много интересного: какие бактерии в вас поселились, каких микроэлементов не хватает, какие гены достались вам в наследство от бабушки. Ученые во всем мире собирают такие кусочки в большие коллекции — биобанки, где можно найти что угодно: ДНК, плазму крови, раковые клетки, фекалии и даже молоко редких экзотических животных. Мы решили разобраться, какие биобанки существуют у нас в стране и чем они могут помочь ученым и обычным людям.
Биобанкиры
— Что такое биологическая коллекция? Это хранилище, для которого один раз собрали образцы и как-то их используют. А что такое биобанк? Это когда образцы собирают, соединяют с информацией о донорах, изучают, пополняют, поддерживают их качество и проводят исследования, — рассказывает о сути современных биобанков Андрей Глотов, заведующий Лабораторией биобанкинга и геномной медицины СПбГУ, вице-президент Национальной ассоциации биобанков.
В последние годы идею развития биобанков активно поддерживает государство: о том, что к 2020 году в России планируют организовать сеть таких депозитариев и коллекций биоматериалов, Минздрав объявил еще в 2017-м. При его поддержке создали первую в стране Национальную ассоциацию биобанков и специалистов по биобанкированию (НАСБио), куда вошли МГУ, СПбГУ, Институт цитологии РАН, — всего более 20 организаций.
Для чего же нужны биобанки и какие возможности они открывают? Во-первых, на огромной коллекции клеток разных людей можно гораздо быстрее и эффективнее проводить испытания новых лекарств. Во-вторых, если у тебя есть база данных ДНК и подробные истории болезней доноров, ты можешь искать генетические причины недугов, а значит, раньше их диагностировать и лечить. В-третьих, в биобанках можно замораживать сперматозоиды и яйцеклетки, чтобы, например, у онкопациентов была возможность стать родителями. В-четвертых, здесь можно хранить все анализы конкретного человека, чтобы наблюдать за их динамикой и подбирать персональное лечение. Наконец, биобанк может стать Ноевым ковчегом для клеток растений или животных, находящихся на грани исчезновения.
— В России живет 146 миллионов человек, а биобанков у нас около 20, из них по-настоящему крупных всего два или три. Основные находятся в Москве и Петербурге, еще несколько — в Томске, Ростове-на-Дону и Владивостоке, — рассказал исполнительный директор НАСБио Артем Муравьев. — Этого явно недостаточно. Но если их станет больше и если они распределятся равномерней по территории страны, мы сможем проводить качественные популяционные исследования и находить биомаркеры самых разных заболеваний.
Все более важным инструментом в области медицинских исследований и диагностики становятся генетические банки данных — во многих странах их создание выливается в проекты национального масштаба. Например, в Китае запущен Проект трех миллионов геномов. В его рамках будут прочитаны геном одного миллиона человек, геном одного миллиона бактерий, необходимых для жизнедеятельности человеческого организма (микробиоты), а также геном миллиона растений и животных. Подобные проекты есть и у других ведущих научных держав, и даже у частных компаний — например, американская фирма 23andMe, первой запустившая коммерческое генетическое тестирование для всех желающих, получила генетические данные более чем миллиона человек и уже использует их в медицинских исследованиях. К сожалению, в России столь масштабных генетических банков нет.
Сегодня в этой сфере остается немало вопросов, в том числе связанных с законом и этикой. Кто имеет право распоряжаться образцом — донор или биобанк? Должны ли биоматериалы быть анонимными или, наоборот, пациенту необходимо получать исчерпывающую информацию о своем здоровье? Не попадут ли генетические данные не в те руки и какие от этого могут быть последствия? Хотя большинство исследователей уверены, что создание биобанков несет гораздо больше пользы, чем опасностей, со всеми этими вопросами российским биобанкирам еще предстоит разобраться.
По следам ядерной катастрофы
Название Радиобиологический репозиторий тканей человека
Что хранят Биоматериалы работников завода «Маяк», которые подвергались профессиональному облучению, а также жителей города Озерска
Когда начали В 1951 году
Сколько собрали Более 500 000 образцов
Днем 29 сентября 1957 года недалеко от химкомбината «Маяк» в закрытом городе Челябинск-40 прогремел мощный взрыв. Тем же вечером жители заметили в небе странное свечение, которое неделю спустя газета «Челябинский рабочий» назовет «признаками полярного сияния». На самом деле в тот воскресный день в СССР произошла первая серьезная радиационная авария, которая получила название Кыштымской катастрофы, — взорвался бак для хранения ядерных отходов. Сегодня международная шкала ядерных событий оценивает ее на шесть из семи баллов: хуже все сложилось только в Чернобыле и на Фукусиме-1.
«Маяк» — первое в Советском Союзе атомное предприятие, где производили оружейный плутоний. Комбинат заработал в 1948 году: к тому времени в Хиросиме и Нагасаки уже прогремели страшные взрывы, а СССР нужно было догонять американцев в военных разработках. Из-за спешки и несовершенства первых ядерных технологий большинство сотрудников «Маяка» в первые годы работы предприятия получили облучение, в несколько раз превышающее допустимые нормы. И это не считая Кыштымской катастрофы.
Чтобы следить за здоровьем рабочих, в Челябинске-40 открыли несколько медицинских и научных центров. Собранная там информация позволила создать медико-дозиметрическую базу данных «Клиника»: сегодня она содержит материалы о 22,5 тысячах человек, за которыми ученые наблюдают уже почти 70 лет. Благодаря ей российские исследователи вместе с коллегами из Японии, Германии, США и Великобритании смогли показать, что с облучением связаны повышенные риски лейкемии, солидных раков, болезней системы кровообращения, катаракты и когнитивных расстройств.
— Сегодня в нашем биобанке хранится более 500 тысяч биологических образцов — это опухолевые и неопухолевые ткани в формалине, в виде парафиновых блоков или в замороженном состоянии при температуре 80 градусов ниже нуля. Кроме того, это образцы периферической крови, ее компонентов, а также выделенная ДНК, — рассказывает Тамара Азизова, заместитель директора по науке Южно-Уральского института биофизики ФМБА России, на базе которого создан биобанк. — Образцы позволяют изучать последствия влияния радиации на организм человека, причем как у тех, кто сам подвергался облучению, так и у их потомков.
Например, отметила эксперт, ученым удалось установить, что у детей, хотя бы один родитель которых получил накопленную дозу излучения 2 Грея, чаще встречаются мутации в гене p53. Он имеет большое значение в предотвращении роста опухолей, а его изменения связаны как минимум с 50% случаев рака у людей.

Что хорошо русскому, а что — якуту?
Название Биобанк СПбГУ
Что хранят Кровь, ДНК, микроорганизмы, культуры клеток и физиологические жидкости человека
Когда начали В 2016 году
Сколько собрали 80 000 образцов
Уверены ли вы, что одни и те же лекарства одинаково подействуют, скажем, на жителей Северо-Запада и Дальнего Востока? Как недавно выяснили ученые СПбГУ, якутам нужно быть очень аккуратными при приеме варфарина — препарата, который не дает образовываться тромбам в крови: риску кровотечений оказались подвержены 86% исследуемых этой национальности. А вот среди псковичей и новгородцев подобные риски встречаются реже: у каждого четвертого и каждого пятого соответственно.
Результаты ученые получили в рамках проекта «Российские геномы», цель которого — создать базу генетических данных почти 200 этнических групп, проживающих на территории России. Для этого специалисты Центра геномной биоинформатики имени Ф. Г. Добржанского СПбГУ каждый год ездят по разным регионам и ищут там подходящие «тройки» — маму, папу и ребенка, которые являются представителями одного этноса как минимум в трех поколениях.
Задача не самая простая, но очень важная: их ДНК может рассказать о том, как часто геномные варианты, связанные с той или иной болезнью, встречаются среди разных этнических групп России, а также, как на их представителей действуют разные лекарства. Ученым удалось выяснить, что у европейцев и азиатов частоты встречаемости признаков совершенно разные, несмотря на то что все они живут на территории одной страны.
Ценные биоматериалы, а именно кровь и выделенная из нее ДНК, хранятся в Биобанке СПбГУ, одном из ресурсных центров научного парка университета. Здесь же — коллекция образцов пациентов с шизофренией и алкоголизмом, чтобы специалисты могли глубже изучать генетические причины этих опасных заболеваний. Еще в криохранилищах можно найти амеб, бактерии, мочу пациентов с почечными проблемами и даже генетически модифицированные дрожжи — с их помощью изучают прионные болезни человека, вызванные белками с аномальной структурой.
— Биобанк организован таким образом, что даже если выключится электричество, биоматериалы не испортятся: в течение двух минут включается резервный дизель-генератор, — рассказал исполняющий обязанности директора Биобанка СПбГУ Кирилл Волков. — А если сломается какой-то из холодильников, датчики температуры это зафиксируют, и специальная система запустит дополнительное охлаждение с помощью жидкого азота. Так что будущее науки в безопасности.

Резервная копия всего живого
Название Депозитарий живых систем «Ноев ковчег»
Что хранят Образцы всех живых организмов Земли
Когда начали В 2014 году
Сколько собрали 1 200 000 образцов (за все время существования университета)
Хотя человечество не готовится к всемирному потопу, ученые из МГУ на всякий случай уже создают «Ноев ковчег» — подробную коллекцию биологических материалов всех живых организмов. Состоит она из пяти направлений: растения, животные, микроорганизмы и грибы, биоматериалы человека, а также биологическая информация. Цель проекта — сохранить биоразнообразие планеты, а также понять, что еще полезного нам может подарить живая природа. Может быть, новые материалы, лекарства или идеи для изобретений?
«Ноев ковчег» уже подарил ученым как минимум 250 новых видов живых организмов — столько удалось описать за время существования проекта. Среди них, например, новый вид тонкорукой чесночницы — тропической амфибии, обитающей в горах Таиланда. Выглядит она как темно-коричневая лягушка со светлым брюшком. Еще один впечатляющий результат — полная цифровая копия гербария МГУ, включающая около миллиона образцов и доступная сегодня всем желающим.
Другое интересное исследование связано с хвостами лошадей Пржевальского, которые тоже являются частью «ковчега»: шкуры этих животных, добытые в Джунгарской части пустыни Гоби в XIX веке, хранятся в Научно-исследовательском зоологическом музее МГУ. Ученые провели изотопный анализ волос лошадей и выяснили, чем питались эти животные более ста лет назад. Оказалось, что тогда они паслись на травяных лугах только летом, а зимой ели кустарниковые растения. Сегодня же лошади, которых вернули в естественную среду обитания, круглый год питаются травами. Скорее всего, так произошло потому, что в XIX веке диких животных вытесняли из степей местные жители и домашний скот — им пришлось как-то приспосабливаться.

Народная кровь
Название Биобанк Северной Евразии
Что хранят Кровь представителей коренных народов России и соседних стран
Когда начали В 1997 году
Сколько собрали 30 500 образцов
— В первый день из останков террориста-смертника выделили ДНК; на второй мы выяснили, что, скорее всего, он родом из Ингушетии, а на третий, простите за мрачную подробность, криминалисты обнаружили его палец, сняли отпечатки и нашли этого человека в базе призывников Ингушетии, — Олег Балановский, профессор РАН, руководитель лаборатории геномной географии Института общей генетики РАН и один из учредителей Биобанка Северной Евразии, рассказывает, как в 2011 году генетики помогли следствию установить личность смертника, подорвавшегося в аэропорту Домодедово.
И хотя Биобанк Северной Евразии создан для других целей — фундаментальных исследований генофонда крупнейшего материка планеты, — результаты этих работ востребованы и на практике, для определения происхождения человека. Как говорит Балановский, если человек сам хочет определить свое происхождение, это генетическая генеалогия (ее анализируют столь популярные сейчас коммерческие ДНК-тесты); если же хочет не сам человек, а полиция — это уже область криминалистики. Тем не менее методы определения происхождения одни и те же.
— Сами образцы ДНК хранятся анонимно, а персональные данные доноров защищены, но информация о генофонде популяции в целом доступна, — объясняет исследователь. — Поэтому коллекции биобанка не помогут найти конкретного человека, даже если его образец там хранится, зато в отношении любого человека помогут определить, из какой этногеографической группы, из какой популяции происходят его предки.
Сегодня генетики, пополняющие коллекции биобанка, проводят примерно десять экспедиций каждый год, во время которых собирают кровь у коренных народов по всей Северной Евразии: от чукчей на востоке до македонцев на западе, от ненцев на севере до армян на юге. Уже получены образцы представителей 112 народов из 17 стран. Потом из крови выделяют ДНК и анализируют ее, выявляя структуру генофонда и прослеживая генетическую историю населения. Например, коллекции биобанка помогли изучить происхождение генофондов славян, историю народов и языков Кавказа, миграции народов из Центральной Азии и многих других регионов. Эти исследования нацелены на изучение прошлого — родословных как народов, так и отдельных людей, — но нередко оказываются полезными и для настоящего, например для изучения распространения генов, связанных с заболеваниями или с реакцией на лекарства.
Еще ученые фиксируют фенотип исследованных людей, иначе говоря, фотографируют их уникальные лица в трех проекциях. Снимки представителей одного народа можно наложить друг на друга и получить обобщенный портрет каждого этноса — такие изображения помогают связывать внешние черты людей с конкретными генами.
— Я часто встречаю в литературе выражение «российская популяция», — объясняет Олег Балановский. — Для меня как для популяционного генетика это нонсенс. Дело в том, что в России очень много популяций и они нередко отличаются так же сильно, как европейцы от китайцев. Поскольку здесь смешиваются две метапопуляции — население Западной и Восточной Евразии, европеоиды и монголоиды, — получается такое колоссальное разнообразие, которое нужно изучать и изучать.

Коллекция кала
Название Биобанк фекалий
Что хранят Образцы кала здоровых людей
Когда начали В 2016 году
Сколько собрали Единовременно в биобанке хранится от 50 до 100 образцов
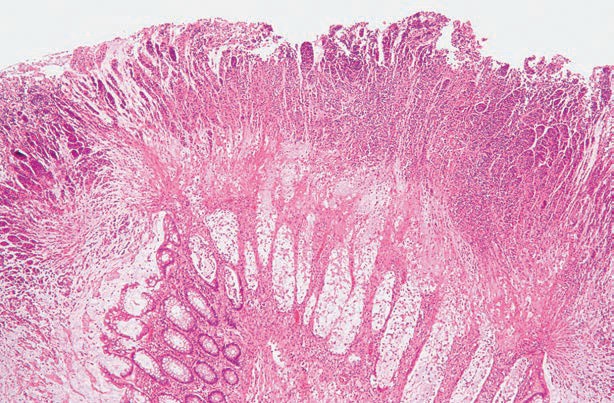
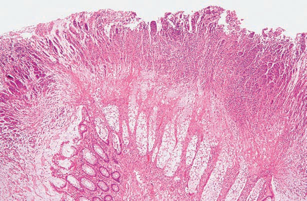
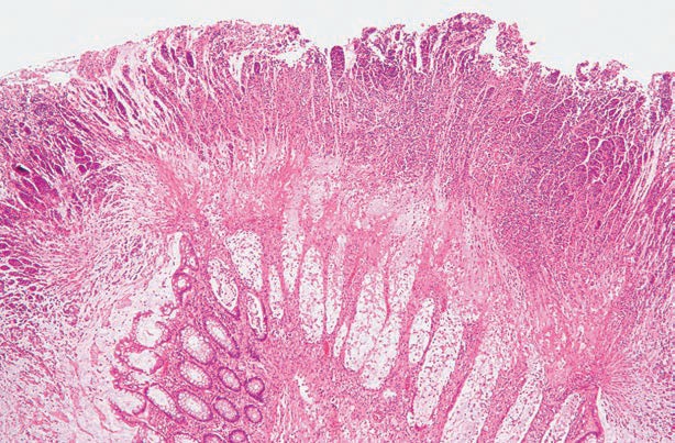
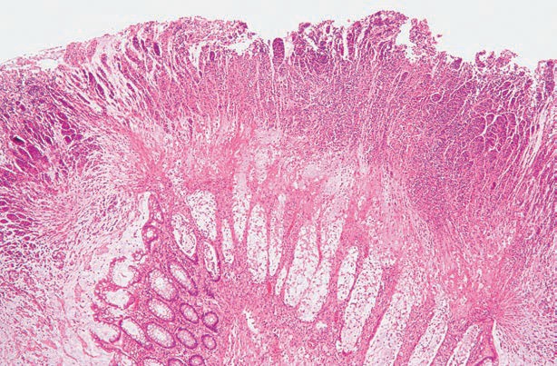
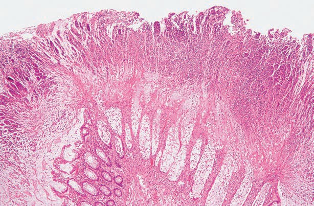
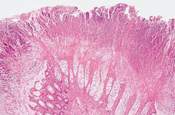
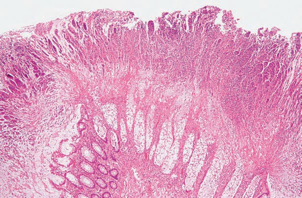
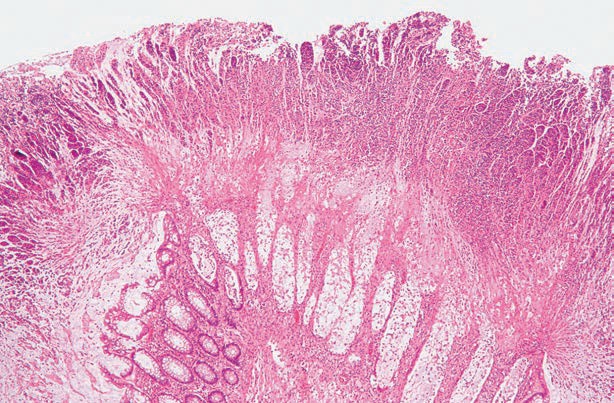
Вы здоровы, молоды, хорошо питаетесь и никогда не страдали от проблем с кишечником? Возможно, вам стоит пожертвовать свой кал ради науки. Предложение, конечно, шокирующее, но именно благодаря фекальной трансплантации — так называется процедура пересадки кишечных бактерий — ученые по всему миру вылечили немало больных, страдающих, например, псевдомембранозным колитом. Это острое воспаление кишечника вызывает устойчивая к антибиотикам бактерия Clostridium diffi cile.
Так как «правильные» сообщества микробов надо откуда-то брать, во всем мире в последние годы открываются биобанки фекалий, куда здоровые люди жертвуют свои биоматериалы. Россия не стала исключением: в 2016 году на базе Федерального научно-клинического центра физико-химической медицины начали создавать банк препаратов из человеческого кала. Донором может стать любой желающий от 18 до 50 лет, который подходит по нескольким критериям. Среди них, например, нормальный ежедневный стул, отсутствие воспалительных заболеваний кишечника в прошлом, отказ от антибиотиков в течение полугода и другие.
— Многие зря думают, что донорство кала — это какая-то ерунда, — объясняет заместитель генерального директора по научной работе Центра, профессор РАН Елена Ильина. — На самом деле это серьезная проце дура: мы заранее готовим донора, забор материала происходит только в стационаре, а образец сразу же проходит обработку, чтобы в нем сохранилось максимальное количество микроорганизмов. Это требует от донора искреннего желания помочь науке, потому что он практически целый день проводит в клинике.
Метод лечения с помощью фекалий хоть и многообещающий, но не совсем безвредный: если не провести анализ образца на устойчивость к антибиотикам, последствия могут быть опасными. Минувшим летом в США из-за неправильной подготовки после трансплантации кала погиб первый пациент — теперь требования к процедуре ужесточились, а многие клинические испытания пока приостановлены. Вот почему, отмечает Елена Ильина, в Центре физикохимической медицины образцы берут только у очень здоровых людей, а затем материал проходит тщательный лабораторный анализ. На сегодняшний день процедура помогла поправиться уже нескольким десяткам людей. — Это экспериментальное лечение, поэтому мы работали пока с небольшой группой пациентов, их около 70 человек, — рассказывает профессор. — У четверых была клостридиальная инфекция (ее вызывают бактерии рода Clostridium), а у большинства — воспалительные заболевания кишечника: язвенный колит или болезнь Крона. Больше 90% процедур помогли ускорить выздоровление: лечение только препаратами дает результат через две недели, а вместе с пересадкой кала — практически на следующий день. Важно отметить, что фекальная трансплантация никогда не используется как единственный метод, а в сложных случаях он не является панацеей — скорее, хорошо закрепляет результат медикаментозного лечения.

Вырастить ксенографта
Название Биобанк раковых опухолей
Что хранят Клетки и фрагменты злокачественных опухолей, а также биоматериалы пациентов с онкологическими заболеваниями
Когда начали В 2017 году
Сколько собрали 5000 образцов
Человек индивидуален, его раковая опухоль тоже индивидуальна. И на то, чтобы подобрать лекарство, которое поможет быстро и эффективно убить злокачественные клетки конкретного пациента, у онкологов иногда уходит немало драгоценного времени. Помочь тут могут лабораторные животные — мыши, которым подсаживают раковые клетки больного, чтобы проверить, какой препарат справится с проблемой лучше всего. Такие ткани, пересаженные от одного биологического вида другому, называются ксенографты (от греческого xenos — «чужой» и английского graft — «трансплантат»).
Биобанк, который в будущем может помочь проводить такие исследования, сегодня работает в Сеченовском университете: здесь хранятся фрагменты тканей различных человеческих опухолей, а также целые злокачественные новообразования — карциномы, опухоли кишечника, молочных желез. Ученые тщательно собирают и другие биоматериалы пациентов — кровь, сыворотку крови, мочу, ДНК, РНК и клетки костного мозга; они нужны, чтобы искать генетические факторы риска онкологических заболеваний, а также диагностические биомаркеры — биологические «звоночки», способные заранее сообщить о проблемах в организме.
— Допустим, выходит научная работа, где ученый предполагает, что какой-то вид рака можно искать по определенному биомаркеру, — объясняет директор Биобанка Института регенеративной медицины Сеченовского университета Владимир Беляев. — Чтобы это проверить, можно не собирать когорту людей с таким видом опухоли, а обратиться в биобанк, где уже хранится огромная база раковых клеток и информация о пациентах — как они питались, какие лекарства принимали, какой образ жизни вели. Это позволяет в несколько раз сократить время на создание новых лекарств и методов диагностики.
Сегодня специалисты университетского биобанка разрабатывают диагностические системы злокачественных образований головы и шеи, а еще особое внимание уделяют изучению колоректального рака. Внимание ученых приковано не только к самим опухолям, но и к микробиоте — сообществу бактерий, которые живут внутри и снаружи новообразований. Возможно, предполагают эксперты, изучив ее внимательнее, получится диагностировать такие виды рака гораздо раньше.
— К сожалению, не все наши коллеги понимают, зачем собирать образцы, если ты не собираешься проводить исследования прямо сейчас, — говорит Беляев. — На самом деле биобанкирование — это огромный вклад в науку будущего: благодаря нашей сегодняшней работе завтра ученые смогут пользоваться по-настоящему большой и информативной коллекцией биоматериалов.

Храните биоматериалы в банке!
Что еще можно найти в биобанковских ячейках мира
Сперма и яйца
Благодаря усилиям ученых из зоопарка Сан-Диего в августе 2019 года мир увидел рождение северного белого носорога — практически исчезнувшего вида диких животных, из которых еще недавно на планете существовали всего две самки. Как же тогда малыш появился на свет? Ему помогла суррогатная мама по имени Виктория, представительница другого подвида белого носорога — южного. Дело в том, что в лабораториях зоопарка собрана уникальная коллекция ДНК-данных, клеточных культур, спермы, яиц и эмбрионов различных, в том числе исчезающих, животных — всего около 8400 образцов. Ученые взяли сперму уже умершего самца северного белого носорога по имени Судан и с ее помощью оплодотворили яйцеклетки двух живых представительниц этого вида, которые потом подсадили Виктории. Кроме того, в «замороженном» зоопарке Сан-Диего активно занимаются расшифровкой геномов редких зверей, а еще учатся с помощью ДНК идентифицировать мясо, чтобы пресекать случаи незаконной охоты на диких животных.
Кровь с мочой
Одна из самых больших и подробно описанных биологических коллекций в мире — это Биобанк Соединенного Королевства, в котором хранятся образцы 500 тысяч добровольцев от 40 до 69 лет. В основном это кровь, моча и слюна, но для каждого пятого еще собраны результаты исследований сердца, костей, внутренних органов и мозга. Главная ценность биобанка — ДНК-данные. Хранятся они анонимно, но вместе с информацией о болезнях доноров, их вредных привычках, о выписанных лекарствах и о причинах смерти. В итоге исследователи могут понять, как генетические варианты связаны, например, с раком, повышенным давлением, диабетом, шизофренией или ишемической болезнью сердца. Кстати, для ранней диагностики последней на основе данных биобанка был создан недорогой генетический тест — стоит он всего 40 фунтов и может еще в раннем детстве предупредить о возможных рисках.
Всемирное семенохранилище
Если на Землю упадет астероид, начнется ядерная война или необратимо изменится климат, у ученых припасена большая коллекция сельскохозяйственных растений, которая, вероятно, сумеет прокормить оставшееся в живых человечество. На холодном архипелаге Шпицберген в Северном Ледовитом океане прямо в скале расположено Всемирное семенохранилище, насчитывающее около 4,5 миллиона семян более 5 тысяч растений. Оно было создано в 2006 году под эгидой ООН — в месте с минимальной сейсмической активностью, а также достаточно холодном, чтобы семена максимально долго оставались пригодными для посева. К сожалению, об экскурсиях сюда можно забыть: так как хранилище имеет стратегическое значение, обычных людей в него не пускают. Однако норвежцы планируют в 2022 году открыть в городе Лонгйир — административном центре Шпицбергена — музейный центр, где благодаря современным экспонатам гости смогут узнать больше об этой уникальной биологической коллекции.
Молоко экзотических тварей
Оказывается, рекордным по количеству белка является материнское молоко броненосца — детенышу этого млекопитающего особенно необходимы питательные вещества, чтобы отрастить себе крепкий панцирь. Эти и множество других интересных фактов о молоке экзотических животных знают сотрудники Смитсоновского национального зоопарка, где еще с 1970-х годов собирают, изучают и хранят эту ценную жидкость. Гиппопотамы, гориллы, ленивцы, муравьеды — всего более 200 видов животных стали донорами для создания коллекции из 16 тысяч образцов. Сотрудники зоопарка рассказывают, что получение молока — настоящее испытание для ученых: ведь животные не должны испытывать дискомфорта во время процедуры. Все делается вручную и только если зверь не выражает протеста. Результаты исследований используют в целях создания молочных смесей для разных животных, если их по каким-то причинам не может выкормить мать. Кроме того, сравнивая материнское молоко человека и обезьян, ученые пытаются понять, как и для чего эволюция меняла состав этой важной жидкости.
Фотография: NKB, Биобанк СПбГУ; Яковлев Илья/ITAR-TASS; пресс-служба МГУ, benjy_a_708/pixabay.com; Nephron/CC BY-SA 3.0; Nightingale Health
Хочешь стать одним из более 100 000 пользователей, кто регулярно использует kiozk для получения новых знаний?
Не упусти главного с нашим telegram-каналом: https://kiozk.ru/s/voyrl
