Вакцина от аллергической астмы показала эффективность на мышах
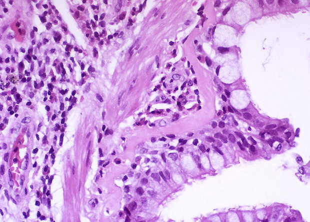
Вакцина от аллергической астмы показала свою эффективность при применении на мышах: она уменьшила продукцию эозинофилов, иммуноглобулина E и мокроты в легких, а антитела выявлялись у 60 процентов мышей через год после вакцинации. Об успешном окончании экспериментов авторы сообщили в Nature Communications.

Астма — это хроническое заболевание, для которого характерны периодически повторяющиеся приступы удушья и свистящего дыхания. В мире от нее страдает 300 миллионов человек, а умирает 250000 человек в год. Существует несколько форм астмы, но у большей части пациентов диагностируют именно ее аллергический вариант. Приступы могут провоцировать самые разные аллергены: от шерсти домашних животных до пищевых продуктов. У 20 процентов пациентов возникает неконтролируемая астма, течение которой не улучшается, несмотря на терапию кортикостероидами, поэтому лечение ее представляет непростую задачу.
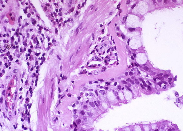
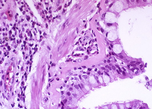
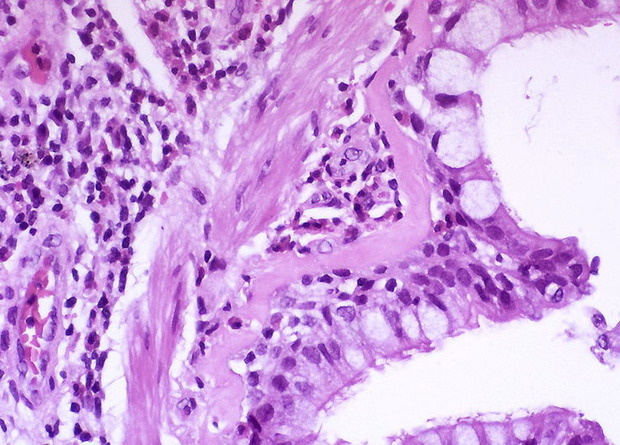
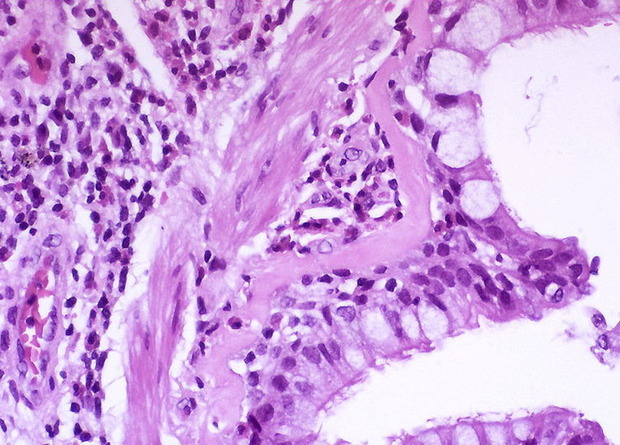
При контакте с аллергеном в дыхательных путях больного астмой продуцируются иммуноглобулин IgE и интерлейкины 4 и 13 (IL-4 и IL-13). Это приводит к каскаду реакций, характеризующихся продукцией слизи и повышенным содержанием эозинофилов в тканях. Антитела, блокирующие
