Чужой среди своих: самый полный гид по аутоиммунным заболеваниям
Аутоимунные болезни встречаются гораздо чаще, чем можно представить. С одними медицина научилась отлично справляться, взять под контроль другие куда сложнее. Рассказываем, что нужно знать о таких болезнях, почему они возникают и как их лечат.

Что такое аутоиммунное заболевание?
Перечень аутоиммунных болезней довольно широк – они поражают разные органы и ткани и имеют различные проявления. Однако для таких болезней существует довольно четкое определение: это заболевание, при котором иммунная система человека ошибочно начинает бороться не с патогенами, а с клетками собственного организма.
В норме она способна отличать клетки организма от клеток патогенных микроорганизмов, но при аутоиммунных болезнях эта способность дает сбой: в теле начинают вырабатываться аутоантитела, атакующие здоровые клетки.
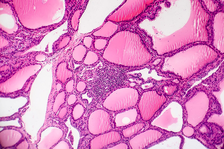
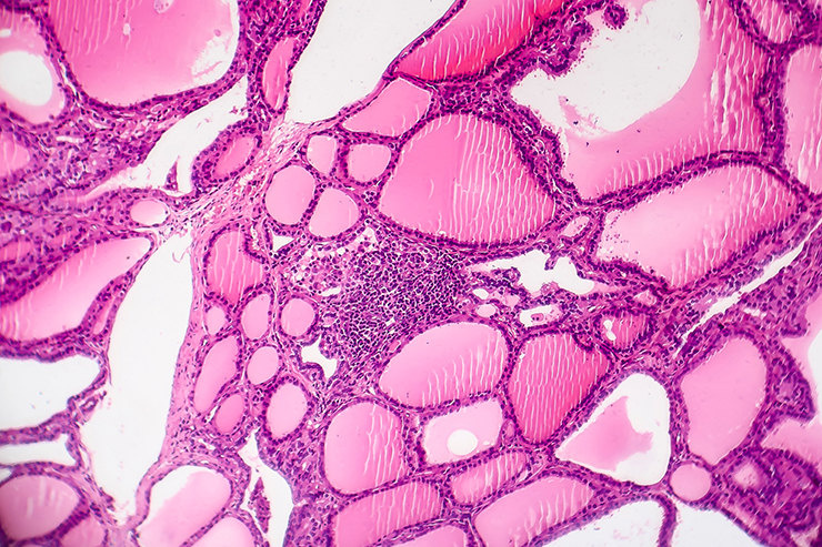
Одни аутоиммунные болезни поражают только какой-то один орган – так происходит, например, при диабете 1-го типа, когда мишенью оказываются клетки поджелудочной железы. В других, как, например, при волчанке, наблюдается системное поражение – под угрозой оказываются все клетки и органы.
Почему иммунная система начинает атаковать клетки своего же организма?
Точных причин возникновения таких заболеваний врачи и ученые пока не знают, у одних людей эти болезни возникают, а у других – нет. Женщины сталкиваются с этими нарушениями в 2 раза чаще мужчин, а само заболевание обычно развивается в репродуктивном возрасте – после 15 и до 44 лет.
Некоторые заболевания имеют семейный характер и диагностируются у нескольких человек в одной семье. Свой вклад также вносят факторы окружающей среды и особенности образа жизни, например западный рацион, богатый трансжирами и сахаром.
С 2015 года активно изучается гигиеническая гипотеза возникновения аутоиммунных заболеваний – современные дети и взрослые реже подвергаются действию патогенов и микробов, а потому их иммунная система становится более восприимчивой даже к, казалось бы, безопасным веществами.
Самые распространенные аутоиммунные заболевания

Врачам известно более 80 аутоиммунных заболеваний, но вот 14 самых распространенных из них.
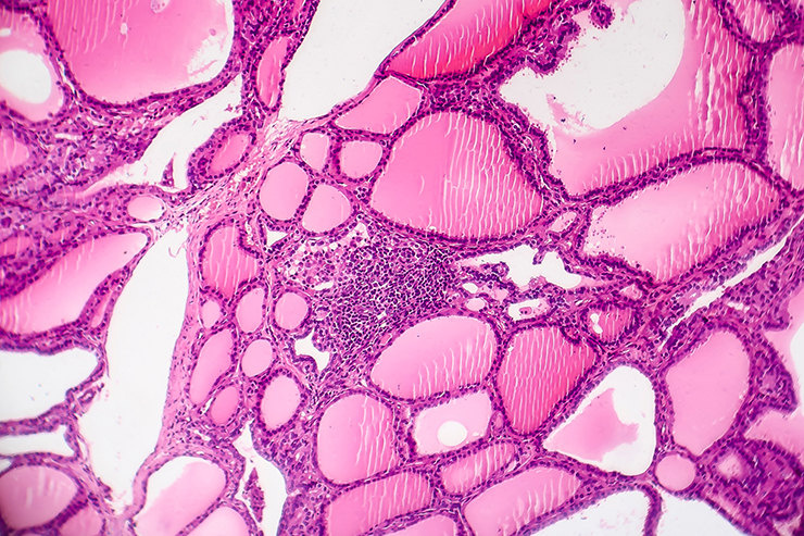
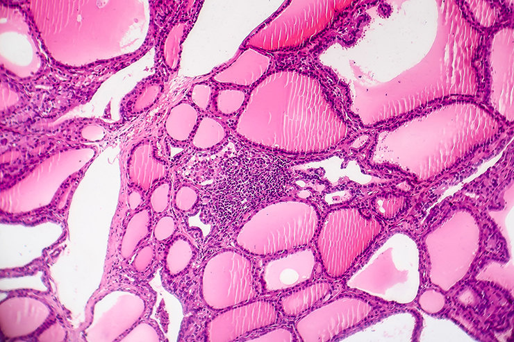
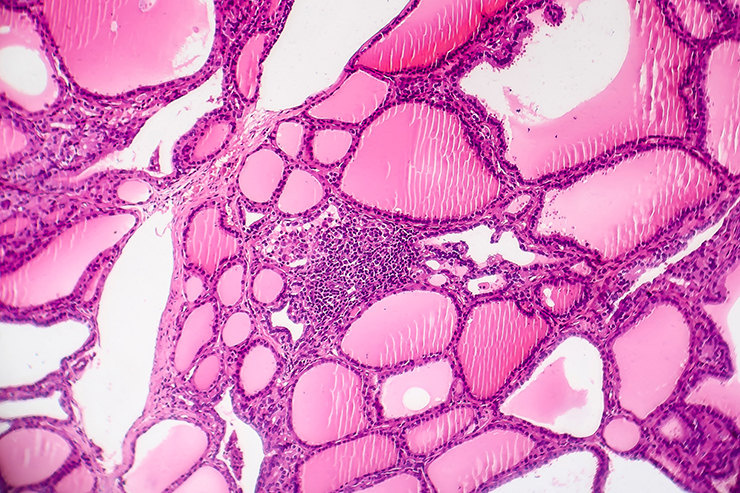
Диабет 1-го типа
При сахарном диабете, который возникает независимо от питания и образа жизни, иммунная система начинает атаковать и разрушать клетки поджелудочной железы, ответственные за выработку инсулина.
