10 изобретений, спасающих жизни: большая статья

Пожалуй, одним из самых значимых изобретений в области спасения жизни стали хирургические инструменты – при раскопках в Греции и Египте их наборы были найдены среди артефактов, которые датируются V-VI веками до н. э. С появлением массового транспорта в начале XX века стали востребованы разработки транспортной безопасности. С тех пор принципиально мало что изменилось: основные изобретения, спасающие жизни, сконцентрированы в производстве, медицине и транспорте.
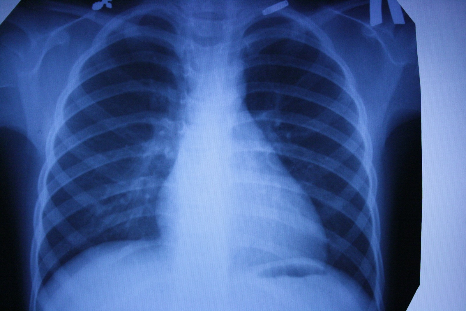
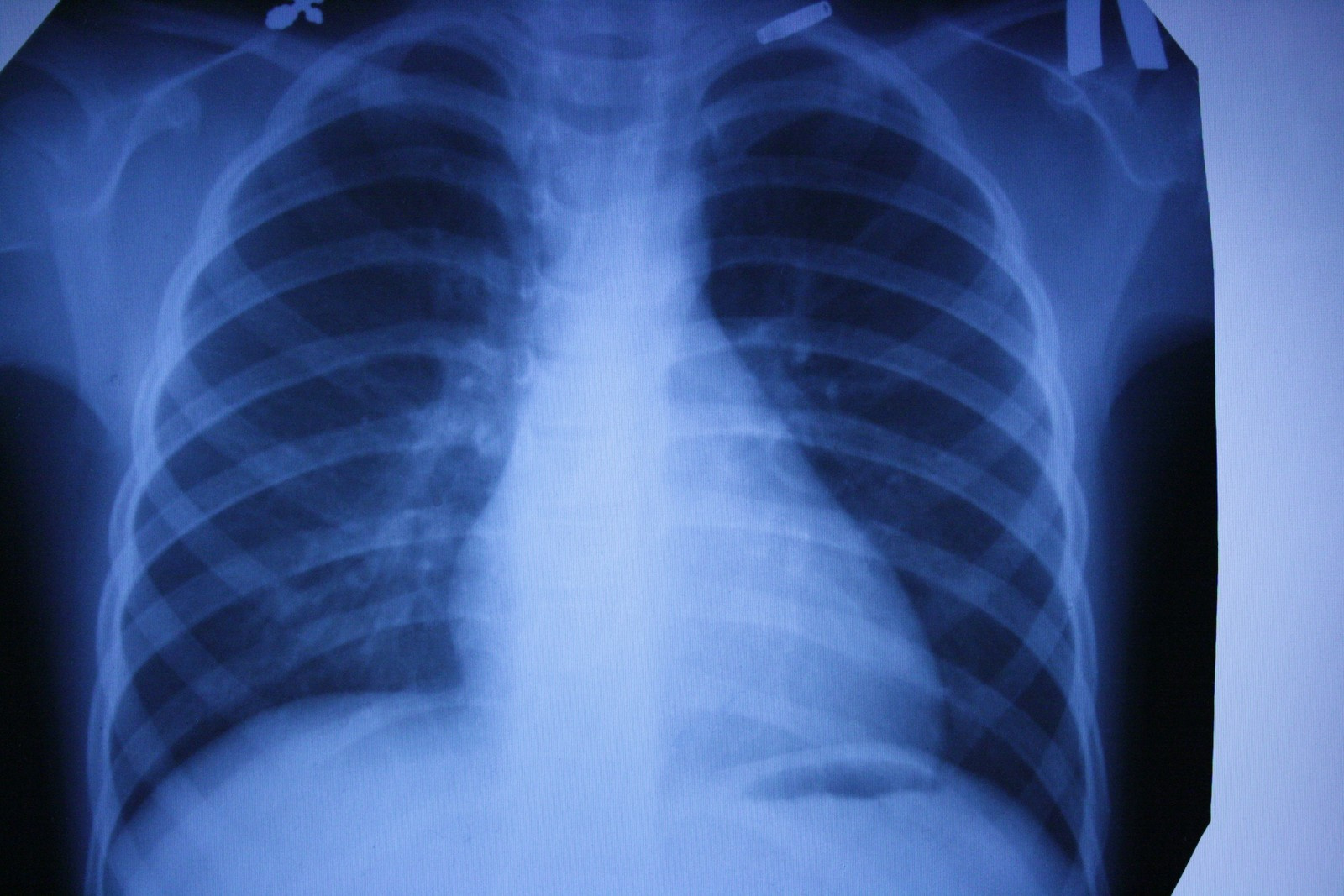
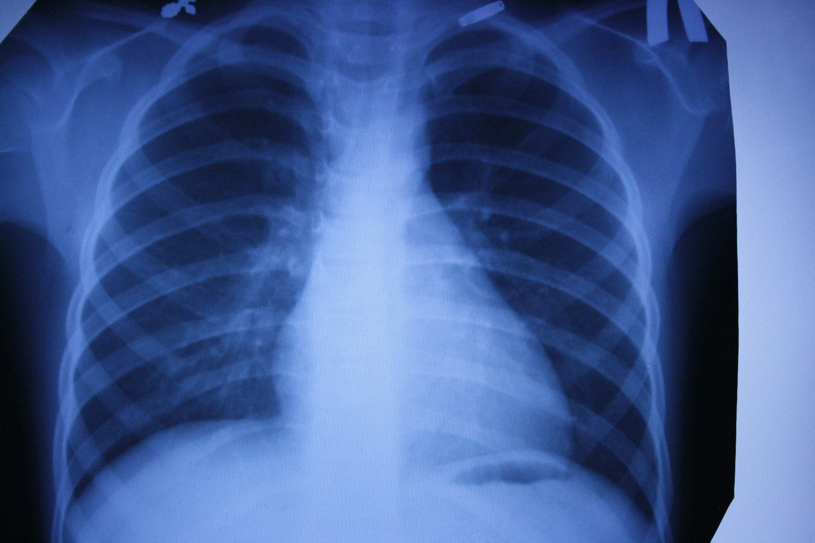
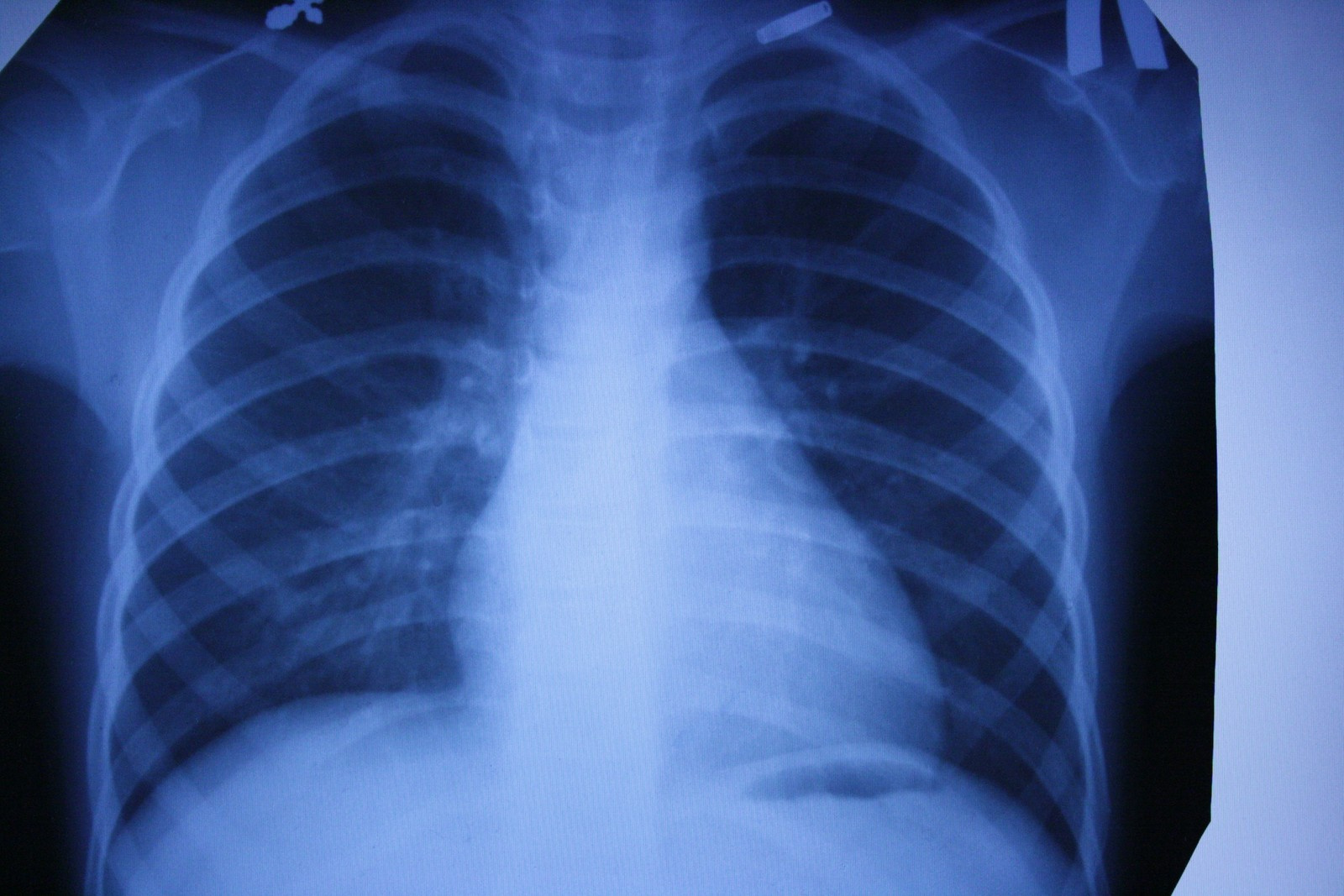
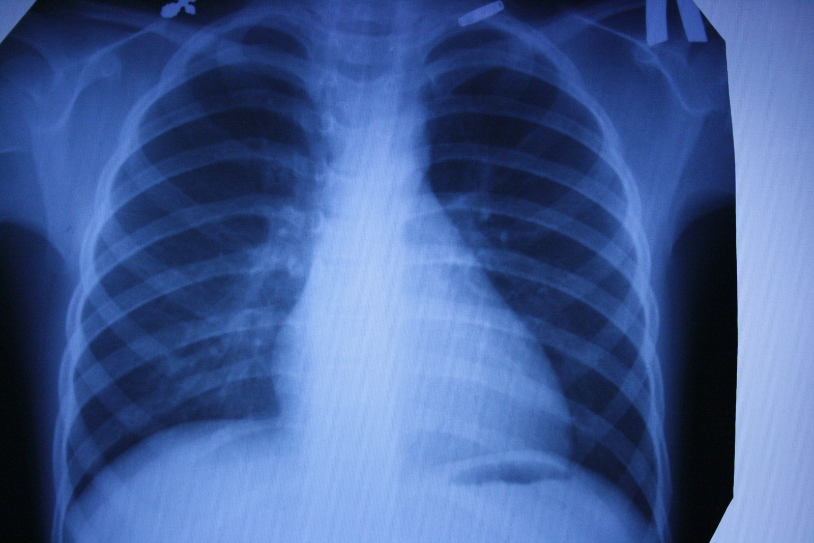
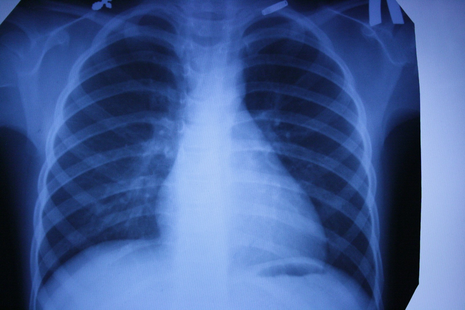
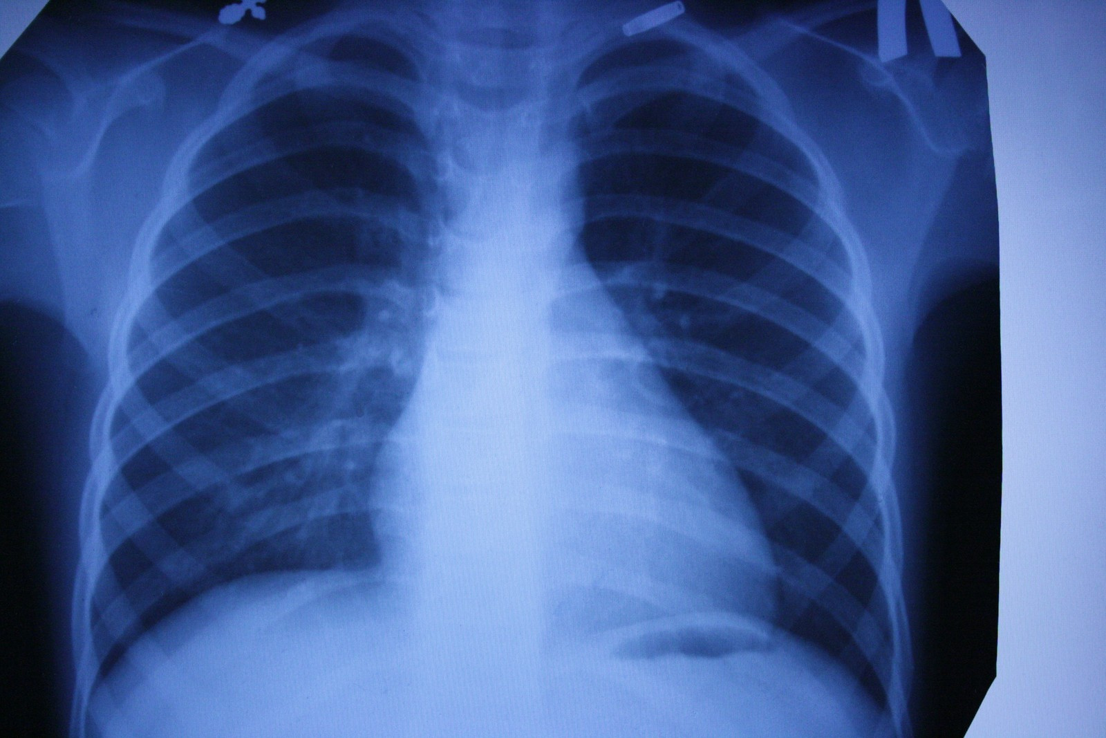
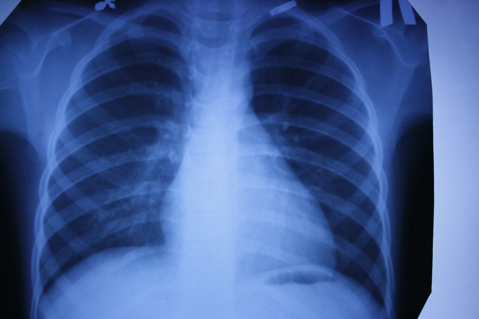
1Рентген
Рентгеновские снимки — первая в мире диагностическая визуализация. Сложно представить современную больницу без такого обследования. Это и флюорография для проверки наших легких, и снимки при заболеваниях суставов или переломах костей. Обнаружение на ранних стадиях туберкулеза или опухоли в легких увеличивает шансы на выздоровление. Кроме того, жесткое рентгеновское излучение может уничтожать раковые клетки. Принципы современной рентгеноскопии используются и в системах безопасности (сканеры в аэропортах, вокзалах и т. д.), и в производстве. В металлургии или машиностроении равномерность просканированной X-лучами структуры указывает на хорошие прочностные характеристики деталей. Таким же образом проверяются прочность бетонных конструкций для монолитного домостроения, сварные швы сложных металлоконструкций.
Одно из важнейших изобретений, спасающих человеческие жизни, создано на основе открытия Вильгельма Конрада Рентгена — немецкого физика, работавшего в Вюрцбургском университете в конце 19-го века. Обнаруженное им излучение было названо в его честь и позже классифицировано как электромагнитные волны в диапазоне между ультрафиолетовым и гамма-излучением. Тогда не было известно, что такие короткие волны образуются при резком торможении ускоренных электронов в момент их столкновения с атомами вещества анода. Открытие было случайным: в 1895 году Вильгельм Конрад Рентген, изучая свечение в катодной трубке, вдруг увидел, что одновременно с включением или выключением прибора начинает появляться или исчезать свечение на лежащем рядом картоне, покрытом кристаллами платиноцианистого бария. При этом катодная трубка была обернута черной плотной бумагой. Включая и выключая катодную трубку, ученный сделал вывод, что она служит источником всепроникающего излучения, которое и заставляет светиться чувствительные кристаллы платиноцианистого бария.
Продолжая изучать X-лучи, Рентген получил на своем оборудовании первый снимок костного скелета — кисти руки. С тех пор основные элементы обычного рентгеновского аппарата мало изменились: катодная (рентгеновская) трубка, питающее устройство (два трансформатора) и пленка-фотобумага из соединений серебра с галогенами, которые темнеют с различной интенсивностью в зависимости от плотности просвечиваемого материала и тем самым формируют изображение.
В 1917 году для анализа рентгеновских снимков был применен экспоненциальный закон ослабления излучения в веществах, который показал высокую точность. Это привело к появлению компьютерной томографии (трехмерного рентгена) — послойного исследования тканей и создания изображения с учетом разности поглощения рентгеновского излучения различными по плотности тканями. Изобретатели томографа — американец Аллан Кормак, разработавший в 1963 году математический алгоритм для томографического восстановления изображения, и британец Годфри Хаунсфилдом из фирмы EMI Ltd. Британец, используя алгоритм Кормака, в 1971 году создал первый компьютерный рентгеновский томограф EMI-scanner для сканирования мозга. В 1979 году оба получили Нобелевскую премию за разработку компьютерной томографии. Томограф проводит более точное диагностирование отдельных органов, а в особенности важен для определения заболеваний мозга и сосудов. Многие жизни были спасены благодаря безошибочному определению типа инсульта при помощи компьютерной томографии, которая и до сих пор считается важным условием диагностирования такого заболевания.
2Лучевая терапия

Первым эффективным методом борьбы с раковой опухолью было рентгеновское облучение. Почти сразу при открытии в 1895 году Х-лучей ученые заметили, что на частях тела, куда попадало излучение, оставались ожоги, что привело к мысли разрушать раковые клетки рентгеновским облучением. Первый сеанс рентгенотерапии был проведен 29 января 1896 года в Чикаго для пациентки с неоперабельным раком молочной железы. В течение последующих экспериментов стало известно, что рентгеновское излучение наиболее эффективно разрушает электронную структуру молекул в тканях с интенсивным делением клеток, что характерно для раковых опухолей. Поэтому такой вид лучевой терапии при раке легких до сих пор используется и в 10−15% случаев приводит к полному исцелению. Однако у этого способа есть побочные явления, как и у другого наиболее распространенного средства борьбы с раком — химиотерапии (введение лекарств через кровь или прием таблеток). Среди них — снижение иммунитета, аппетита, веса, появление слабости, тошноты, выпадение волос.
Второй способ лучевой терапии был найден также на рубеже 19 и 20 веков — при открытии радиации и радиоактивных элементов. В 1896 году француз Анри Беккерель, экспериментируя с солью урана, открыл естественную радиоактивность, а в 1898-м Мария Склодовская и Пьер Кюри открыли радиацию полония и радия. Тогда также были отмечены ожоги на участках тела, которые подвергались облучению. Но дозировать облучение в те годы не могли, поэтому появлялось мало сведений об успешном воздействии радиации на раковые клетки. Тем не менее именно эти эксперименты стали предвестником радиобиологии — науки о воздействии излучения на биологические объекты.
В мае 2013 года Mitsubishi Electric Corporation (MELCO) завершила сборку новой системы протонной терапии для лечения онкологических заболеваний, которая была разработана в Центре энергетических систем корпорации, расположенном в префектуре Хего (Япония). Технология, включает в себя ряд инновационных решений, таких как система генерации и канализации излучения повышенной мощности, высокоточное позиционирование луча при применении сканирующей системы, комбинированное использование технологий облучения сканирующим лучом и пассивного рассеивания с использованием коллиматоров на одном операционном столе.
При этом повышение интенсивности пучка частиц позволило сократить длительность облучения в 4 раза по сравнению с предыдущими системами, а это значит, что пациент проведет меньше времени в неподвижном зафиксированном состоянии. Высокоточное позиционирование луча при сканировании опухоли лучом выросло в 2 раза до 5 миллиметров, как и скорость сканирования — в 5 раз до 100 миллиметров в миллисекунду, что обеспечивает быстрое и аккуратное облучение даже сложной по форме опухоли, с минимизированным повреждением здоровых тканей. На данный момент в мире используются две технологии применения протонного облучения. Сканирующая система с помощью управляемого магнитами пучка частиц облучает точку за точкой всю опухоль. Технология пассивного рассеивания требует предварительного изготовления специального фильтра по форме опухоли — коллиматора, при прохождении через который пучок частиц равномерно облучает всю опухоль.
