«Фаянсовая улыбка» уже не в моде: кому нельзя отбеливать зубы, в чём суть технологии и при чём тут осветление волос
Хотя и неестественно белая «фаянсовая улыбка» выходит из моды, процедуры по отбеливанию зубов не становятся менее востребованными. Сегодня расскажем, как происходит медицинское отбеливание, кому оно запрещено и существует ли альтернатива.

Главврач сети стоматологических клиник «Белая Радуга» Антон Артёменко — о домашнем и кабинетном отбеливании и более радикальной альтернативе — винирах.
Какими бывают оттенки зубов
Возможность подбирать цвет зубов у стоматологов появилась вместе с первыми керамическими и металлокерамическими реставрациями — в 1960-е. До этого пломбы изготавливали из амальгамы — сплавов ртути с другими металлами, а коронки — из хрома с кобальтом, золота и серебра. Стоматологи не пытались имитировать естественный цвет зубов, основной целью было восстановление функции зуба.
К первым металлокерамическим и цельнокерамическим коронкам предъявлялись невысокие требования по эстетике: было важно, чтобы зубы выглядели «белыми» и не слишком выделялись во рту. А с ростом популярности керамических масс и с появлением композиционных материалов для пломб стоматологи начали полностью имитировать цвет естественного зуба.

Само понятие цвета естественного зуба довольно широкое.
Первая шкала для определения цвета зубов — VITAPAN classical A1-D4, появилась в 1956 году. Её выпустила немецкая компания VITA. Шкала состоит из 16 оттенков.

Классической шкалой VITA врачи пользуются и до сих пор, но с распространением отбеливания появились новые оттенки, которых не было и в этой шкале. Компания VITA расширила свою палитру до 29 оттенков. Также появилась новая шкала специально для выбора цвета при отбеливании — R-20 Teeth Whitening Shade Guide.

Самый распространённый оттенок зуба — А3. Как правило, он встречается у людей среднего возраста. Оттенки ниже 3 выглядят более светлыми, а выше — тёмными.
Мы не воспринимаем зубы отдельно от лица человека, поэтому то, как они выглядят, определяют и другие факторы, например, цвет кожи или одежды.
У меня была пациентка, которая, съездив на море, заметила, что зубы стали светлее. Она предположила, что из осветлила морская вода. Но в действительности у неё загорела кожа, поэтому на контрасте зубы выглядели более светлыми.
На восприятие цвета влияет не только сам пигмент, но и прозрачность: у естественного зуба прозрачный эмалевый край, который определённым образом преломляет свет.
Также на восприятие влияет и расположение зубов в полости рта. Например, есть такое явление — «тёмный коридор» или «щёчный коридор» — затемнённое пространство в уголках рта. Когда человек улыбается, его последних зубов не видно. Это происходит из-за особенностей строения челюсти: более скруглённый зубной ряд «спрятан» от глаз. Со стороны такая улыбка кажется менее яркой.
Наклон зубов тоже влияет на восприятие цвета. Если зубы слегка отклонены вовнутрь, они меньше отражают свет и потому кажутся более тёмными.

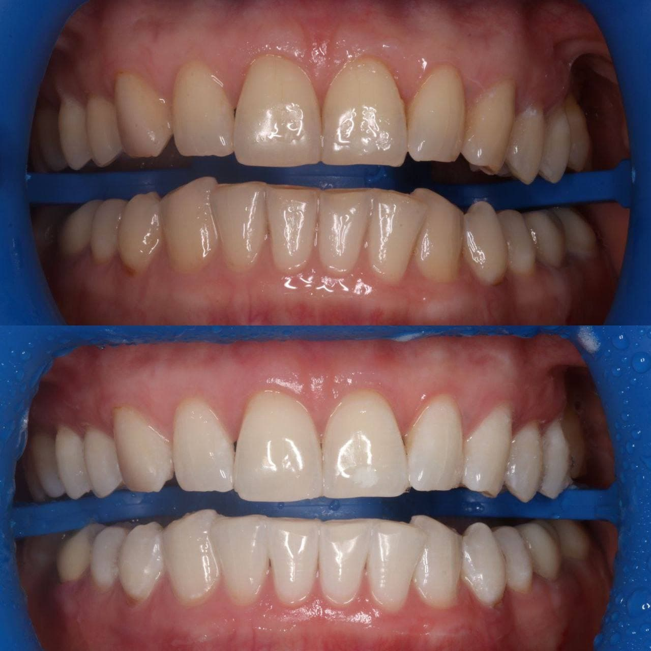
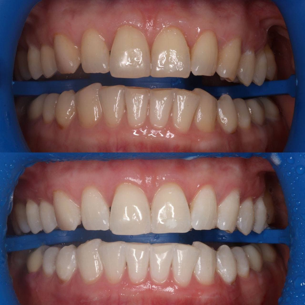
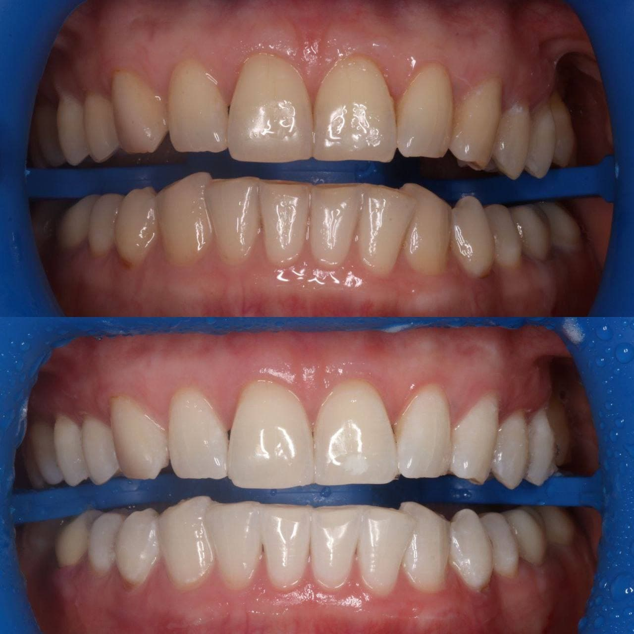
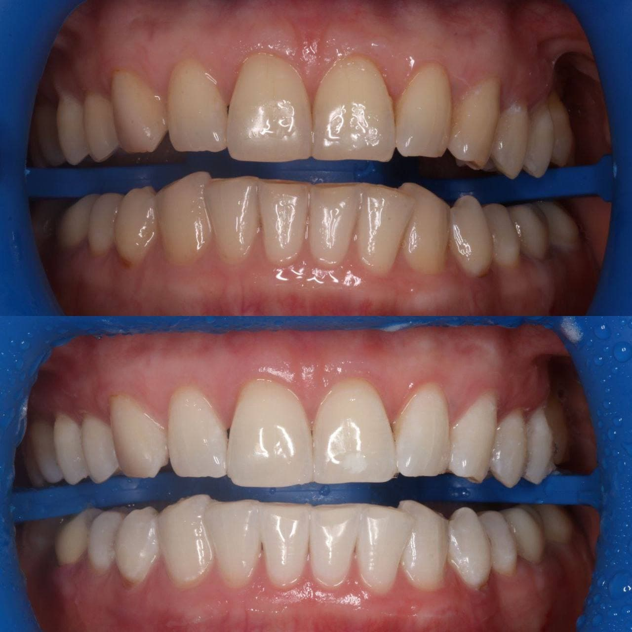
Как осветлить зубы: три способа
Если проблем с прикусом нет, осветлить зубы можно тремя способами:
- За счёт гигиенической чистки у врача — очищения от налёта и камней. После гигиены зуб может стать светлее, но это будет его «родной» оттенок.
- С помощью отбеливания: мы вмешиваемся в естественный цвет зуба и придаём ему более светлый оттенок с помощью химических составов. Но возможности отбеливания не безграничны: результат всё равно зависит от исходных данных. Так что получить белоснежную голливудскую улыбку, если ваш «родной» цвет — C4, практически невозможно.
