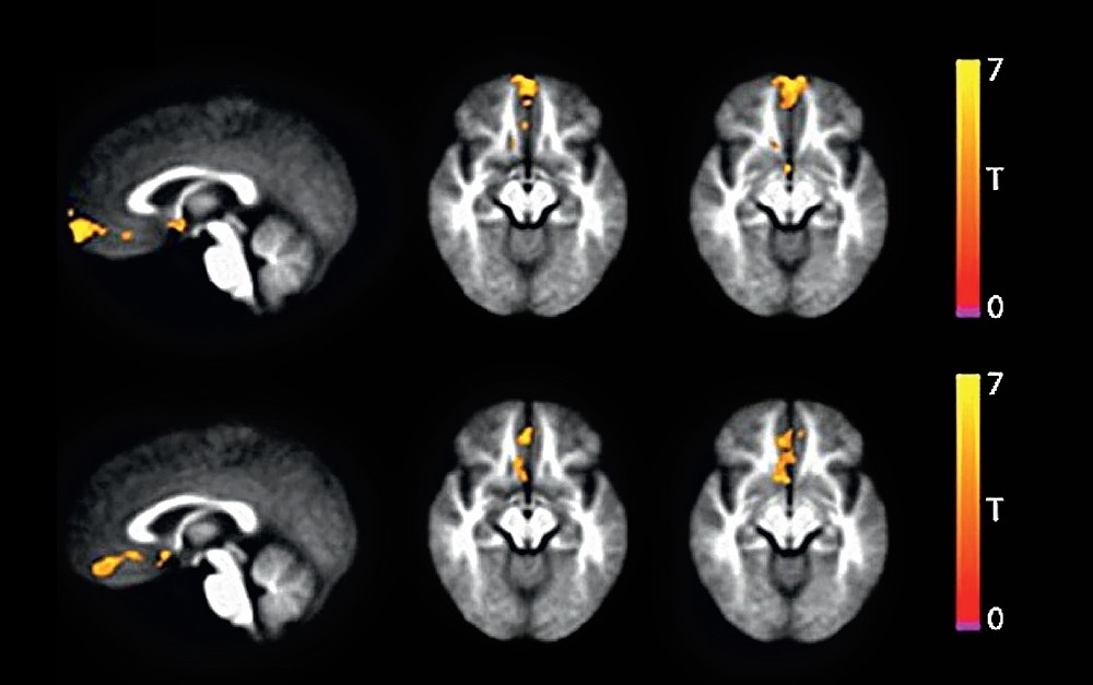
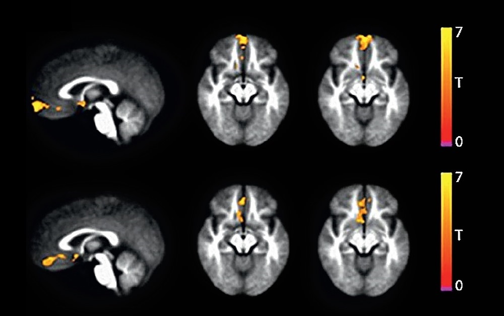
Как устроен мозг маньяка-убийцы: мы отличаемся от них

Самых страшных преступников, серийных или массовых убийц например, мы часто называем нелюдями. Это кажется метафорой – ну конечно, они люди, жившие среди нас, похожие на нас, просто поступки их идут вразрез с общепринятыми представлениями о добре и зле. И все-таки в ярлыке «нелюди» содержится некий намек на биологическую несхожесть. Что-то в этих преступниках не так, не по-человечески устроено.
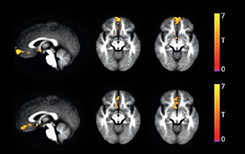
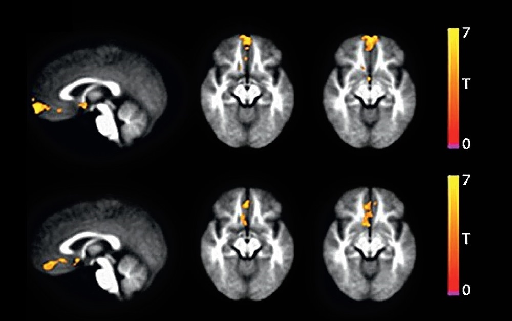
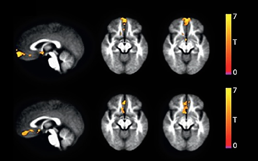
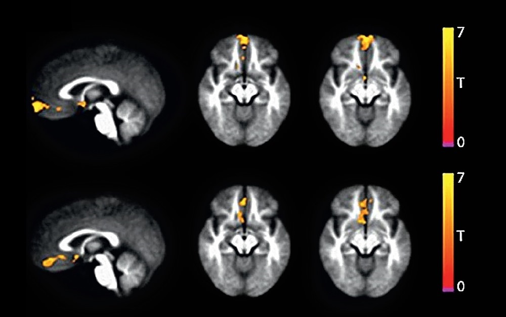
О том, бывают ли прирожденные убийцы и можно ли по физиологическим признакам выявить потенциального преступника, задумались еще в XVIII—XIX веках, когда пробивавшие себе дорогу научные представления о живом соседствовали и соперничали с разными экзотическими заблуждениями.
Гадание по черепу
Австрийский врач Франц Йозеф Галль (1758−1828) создал учение под названием френология. Галль, как ему казалось, сумел определить, какие части мозга отвечают за те или иные духовные способности. Более того, наличие и выраженность этих способностей находили, по мнению естествоиспытателя, отражение в конструкции черепной коробки. То есть достаточно осмотреть череп со знанием дела, и можно прийти к заключению, кто перед тобой: потенциальный Моцарт или потенциальный Джек Потрошитель. Черепу фактически придавалось большее значение, чем мозгу. Даже в те давние времена доктор Галль прослыл скандальной личностью, а его теории и любовь к черепам современники подвергали критике. Но именно Галлю принадлежит гениальная догадка о том, что интеллект связан с лобной долей мозга. Френология же не оправдала себя в качестве метода выявления социально опасных личностей.

Уже во второй половине XIX века за дело взялся не менее скандальный итальянский врач-психиатр Чезаре Ломброзо (1835−1909). Он считал, что преступные наклонности человека предопределены физиологически и искал свидетельства этих наклонностей в фенотипических признаках: покатый лоб, большие ушные раковины, асимметрия лица и черепа, прогнатизм (выступание вперед верхней или нижней челюсти), чрезмерная длина рук. Ломброзо полагал, что все эти признаки указывают на недоразвитого, близкого к диким приматам атавистичного человека. Такие люди, по мысли итальянского психиатра, обречены быть социопатами и преступниками. Идеи Ломброзо и его методы исследования также подвергались критике, но для того времени они вовсе не были чем-то экзотичным или маргинальным. Современник Ломброзо и родственник Дарвина британец Фрэнсис Гальтон развил теорию «евгеники», суть которой — в применении к человечеству искусственной селекции по типу той, что практикуется в животноводстве. Размножаться должны люди с хорошими физическими и интеллектуальными данными. Те, кто, по мнению Гальтона, попадал в категорию ущербных, из размножения должны быть выведены. До поры до времени все это были лишь теории, но когда к власти в Германии пришли нацисты, они принялись воплощать подобные идеи на практике. После победы над гитлеровской Германией и обнародования данных о преступлениях нацистов рассуждения о биологических основах асоциального поведения были в Европе не то чтобы запрещены, но перешли в разряд не слишком желательных. Восторжествовала точка зрения, что преступника формирует социальная среда, неблагополучные семьи, детские травмы.
