Частые укусы малярийных комаров вызвали лимфому у детей
Для этого инфицированные насекомые должны укусить ребенка несколько сотен раз

Исследователи из Кении, США, Уганды и Танзании показали, что частый контакт с малярийным плазмодием не проходит бесследно для иммунной системы. Они составили карту распространенности тропической малярии и соотнесли ее с заболеваемостью лимфомой Беркитта у детей. Согласно статье, опубликованной в Proceedings of the National Academy of Sciences, каждые 100 контактов организма с малярийным плазмодием повышают распространенность гематологической опухоли среди детей на 40 процентов. Борьба с малярией в Африке должна помочь в контроле детских онкозаболеваний.
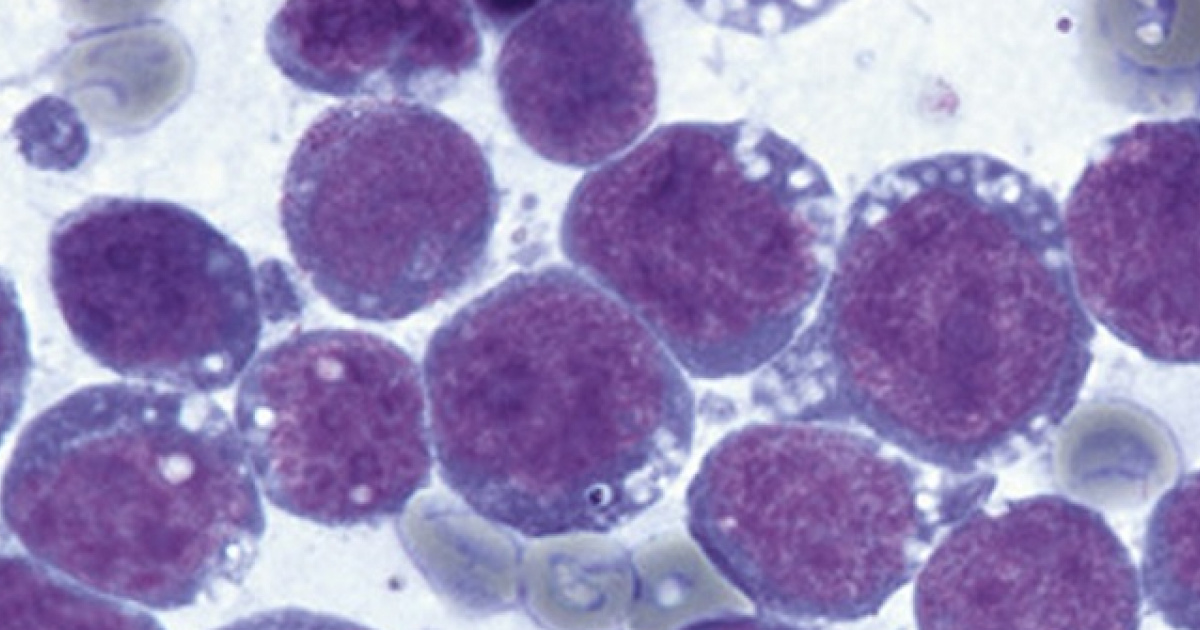
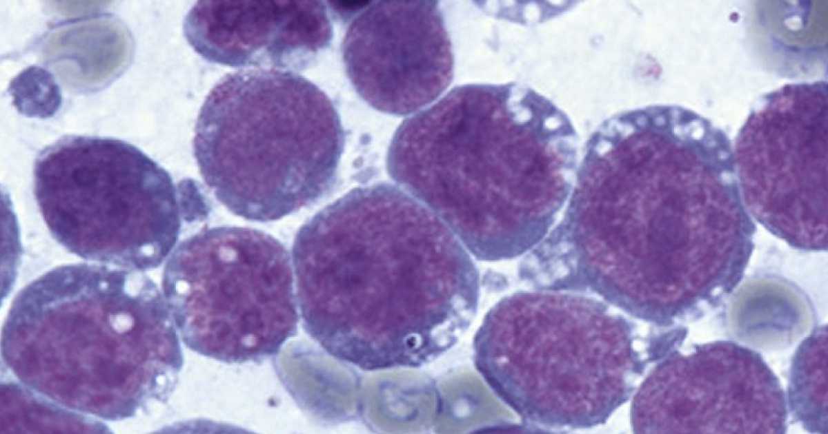
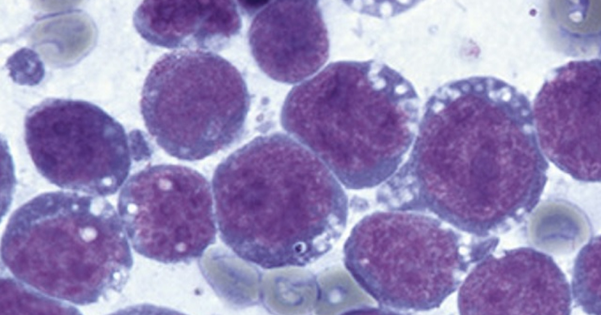
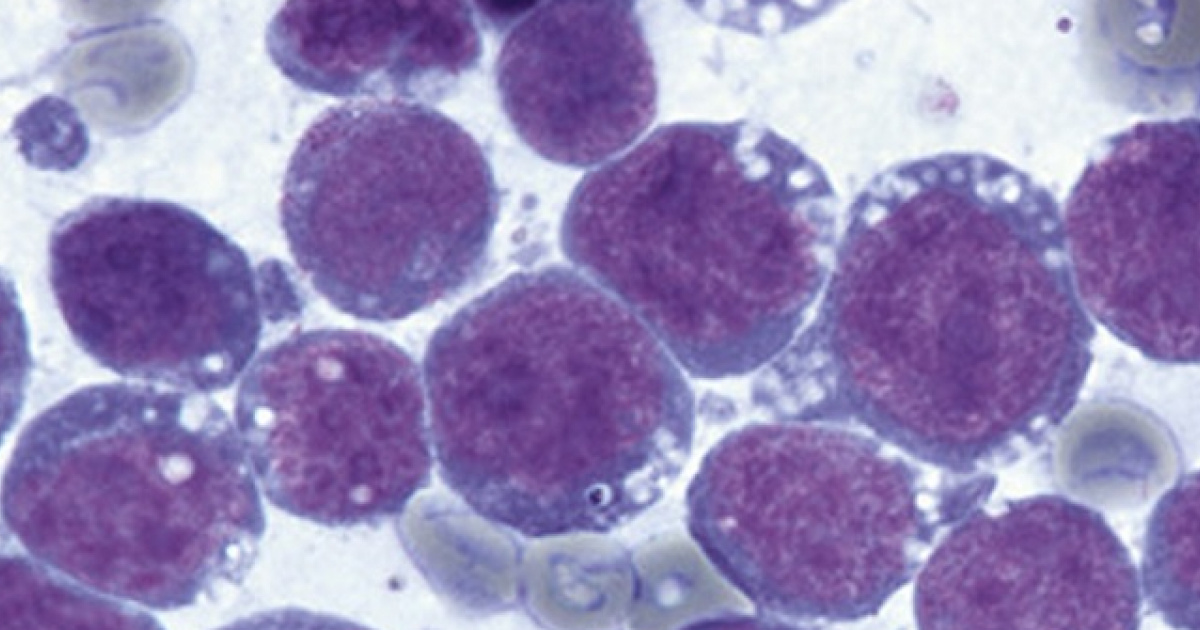
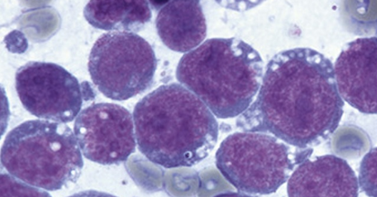
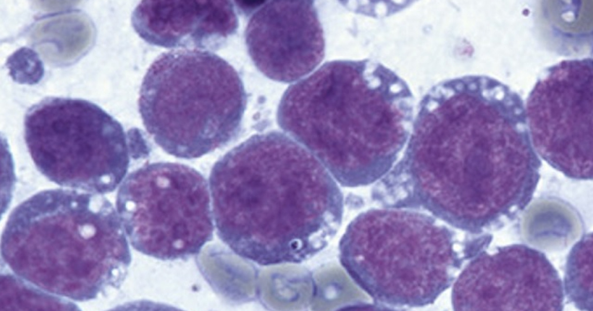
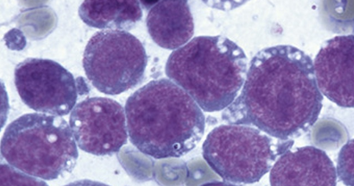
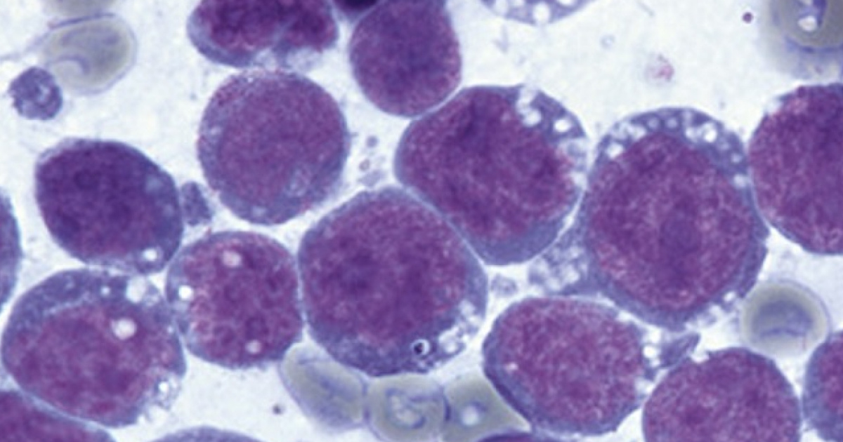
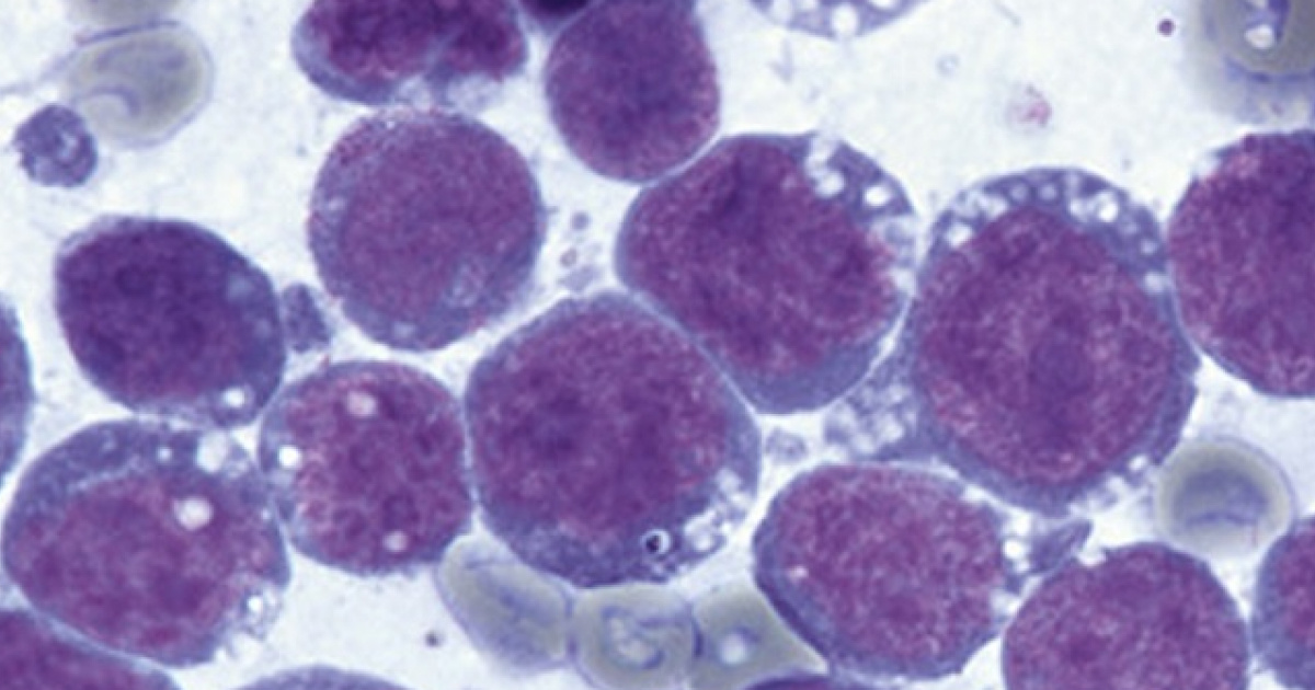
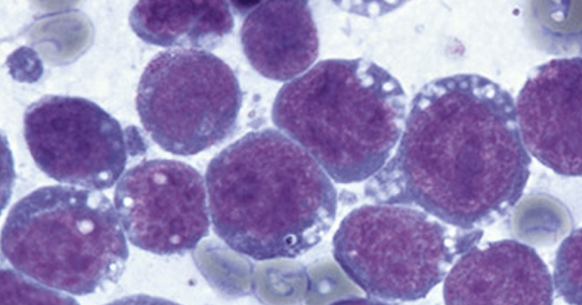
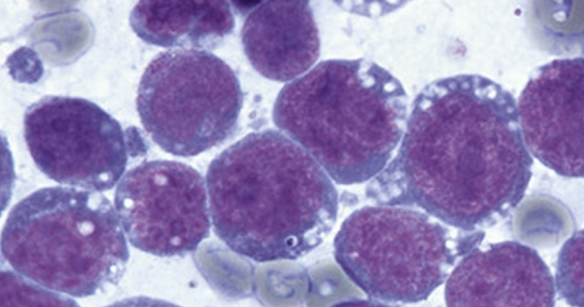
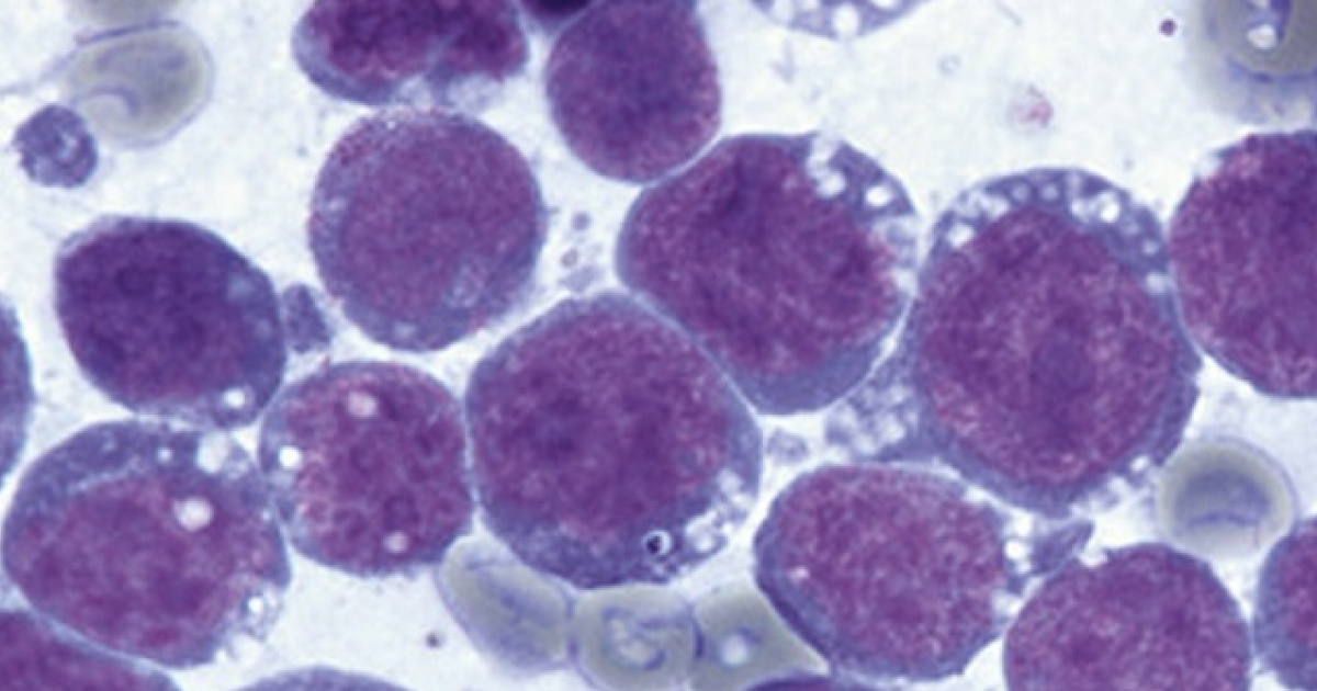
Лимфома Беркитта — это агрессивная B-лимфоцитарная опухоль, возникающая у взрослых и детей по всему миру. Однако в разных уголках нашей планеты уровень заболеваемости далеко неодинаковый. Так, в Африке южнее Сахары он в десятки раз выше среднемирового и достигает в отдельных местностях десяти случаев на сто тысяч детей в год (именно в таком регионе — в Уганде — Деннис Беркитт открыл заболевание в конце 1950-х годов).
С момента открытия болезни известно, что к возникновению лимфомы Беркитта причастны инфекции. С 1960-х годов ее связывают с вирусом Эпштейна — Барр, а в конце XX века стало известно о ВИЧ-ассоциированной форме лимфомы Беркитта. Но во многих случаях гематологическое заболевание развивается у людей, чья иммунная система не контактировала с вирусами. Следовательно, должны быть и другие этиологические факторы, важные для развития эндемической формы болезни. Искоренив их, можно приблизиться к контролю над болезнью.
