Связь ожирения с риском развития рака объяснили большим размером органов

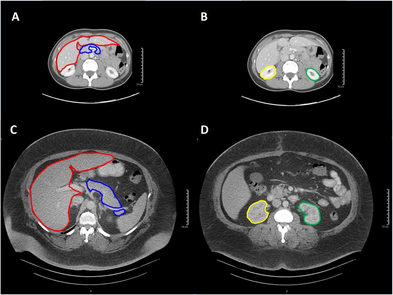
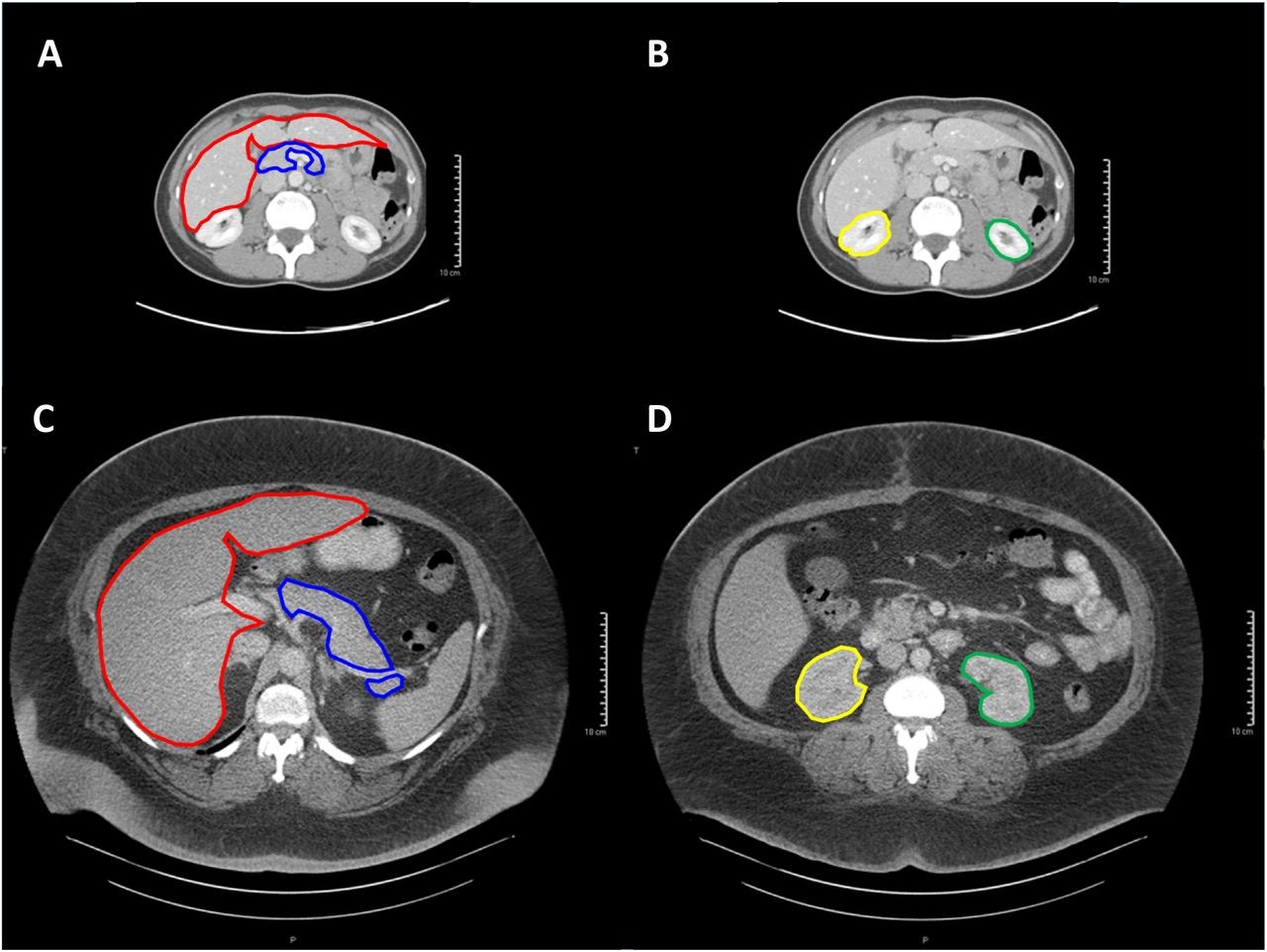
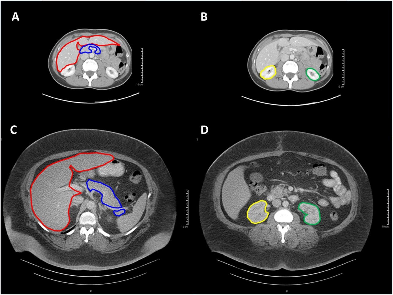
У людей с ожирением в среднем больше объем почек, печени и поджелудочной железы, и это изменение коррелирует с риском развития рака соответствующих органов. Авторы статьи, препринт которой опубликован на портале bioRxiv, предполагают, что связь ожирения и риска развития рака объясняется большим числом клеток в органах и увеличением вероятности мутаций.
Ожирение — один из основных факторов риска развития рака различных видов. В последние десятилетия количество людей с ожирением растет по всему миру, однако механизмы влияния избыточного веса на риск развития рака пока не ясны. Например, показано, что в злокачественных опухолях людей с ожирением мутационная нагрузка — частота мутаций — не отличается от людей с нормальным весом.
Ученые из США и Франции под руководством Кристиана Томасетти (Cristian Tomasetti) из Университета Джона Хопкинса предположили, что риск развития рака увеличивается при ожирении не из-за изменений в отдельных клетках, а по статистическим причинам. По версии исследователей, у людей с избыточным весом размер органов и число клеток в них больше, а значит, выше шанс появления мутаций.
