Инки поманипулировали с мумией жертвы капакочи
Ее нашли много лет назад на вулкане Ампато
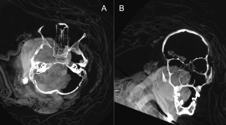
Палеопатологи обследовали с помощью компьютерной томографии мумифицированные останки четырех детей, которых около пяти веков назад инки принесли в жертву на вулканах, расположенных в Перу. Анализ снимков показал, что не все отобранные для жестокого ритуала дети были идеально здоровы, а перед смертью как минимум часть из них получила травмы головы. Кроме того, ученые заметили, что с останками одного ребенка, по-видимому, спустя какое-то время после смерти люди проводили дополнительные манипуляции, которые, возможно, были направлены на то, чтобы оставленное на горе тело лучше выглядело и сохранилось. Об этом сообщается в статье, опубликованной в Journal of Archaeological Science: Reports.
Империя инков (конец XIII — вторая половина XVI века) — самое известное и крупное политическое образование в доколумбовой Южной Америке, занимавшее на пике своего развития многие земли современных Перу, Боливии, Эквадора, а также частично Колумбии, Аргентины и Чили. Одной из заметных составляющих культуры инков выступали различные жертвоприношения. В частности, у них существовал ритуал капакоча, в рамках которого детей, подростков или молодых девушек из разных частей империи отправляли в Куско, где жрецы готовили их к будущему жертвоприношению.
После подготовки будущие жертвы отправлялись в сопровождении в далекое пешее путешествие к священным местам, располагавшимся на вершинах вулканов или гор, где одурманенных детей и подростков умерщвляли и оставляли на высоте вместе с разными подношениями. Поводом для такого жесткого ритуала могло выступать важное государственное событие: от смерти правителя или победы в войне до стихийного бедствия.
