За версту видно
Откуда мы знаем, что рак — это рак

Еще 300 лет назад диагностировать рак было легко: видим опухоль — значит, это рак. С тех пор ученые научились отличать больные клетки от здоровых, и не только по внешнему виду. В современной диагностике рака используются сложные технологии — от ядерных томографов до секвенирования ДНК. Результаты анализов говорят современным врачам гораздо больше, чем их предшественникам. Они позволяют выбрать тот метод лечения, который с наибольшей вероятностью поможет конкретному пациенту.
В проекте «Биодизайн» вместе с Сеченовским Университетом мы рассказываем, как медицина становится все более персонализированной, зачем нам нужны биобанки и есть ли они в России, а также сможем ли мы отказаться от исследований на мышах, собаках и обезьянах.
Часть 1. Как рак научились отличать от других болезней и диагностировать
Рак — заболевание древнее. Доказано, что от него страдали дальние родственники людей, жившие в Южной Африке 1,7 миллиона лет назад, и люди современного типа. Одно из древнейших описаний опухолей содержится в египетском папирусе Эдвина Смита, составленном больше 4000 лет назад, — там оно сопровождается комментарием «лечения нет».
Авторство греческого термина, от которого произошло современное название заболевания, приписывают жившему 2500 лет назад греческому врачу Гиппократу; он, по всей видимости, тоже имел в виду исключительно твердые крупные новообразования. Со времен Гиппократа и вплоть до XX века диагностике поддавались только видимые невооруженному глазу опухоли. И лишь в XX веке появились методики, позволяющие диагностировать рак иначе — по внешним изменениям клеток.

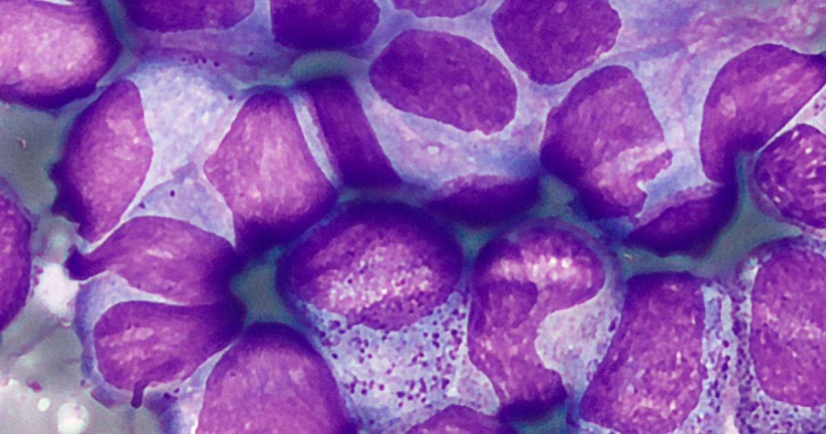
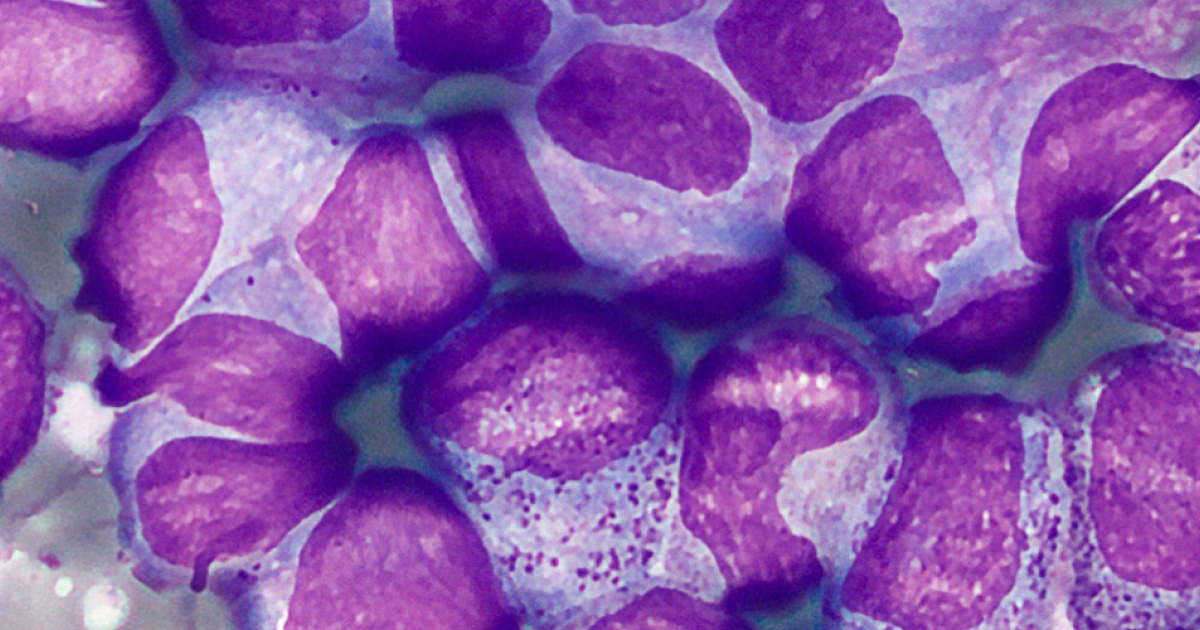
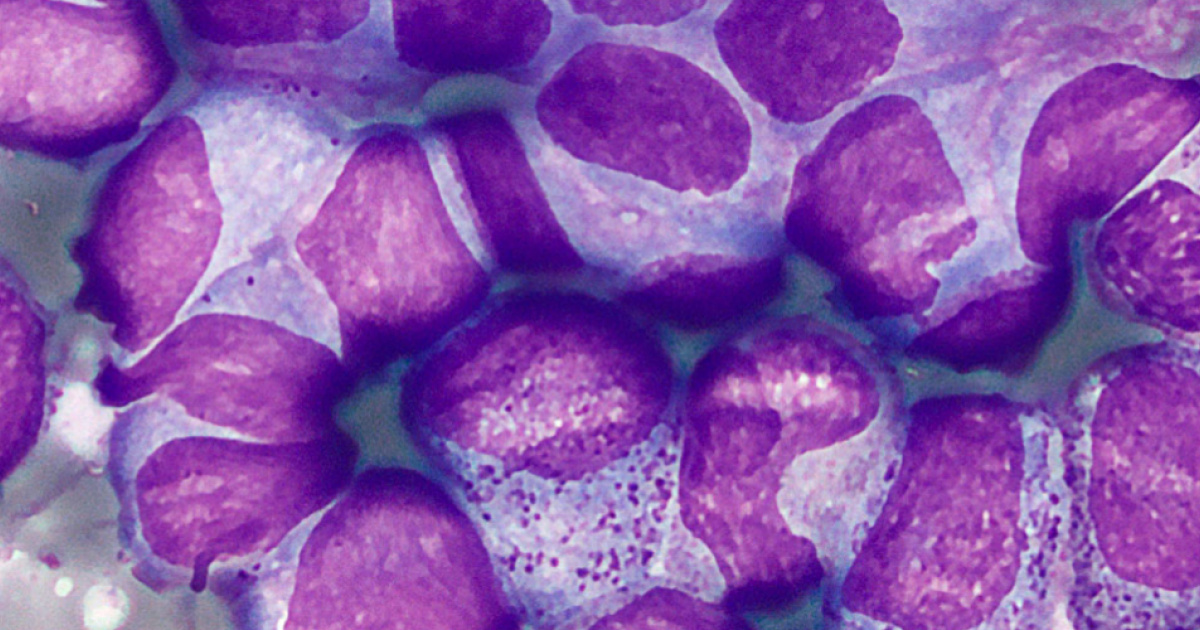
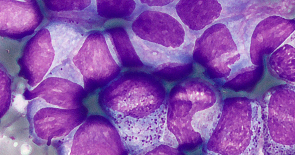
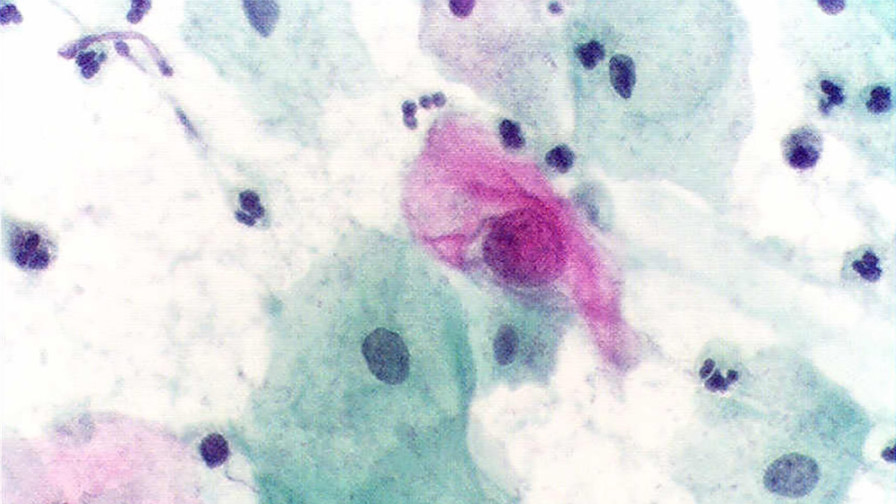
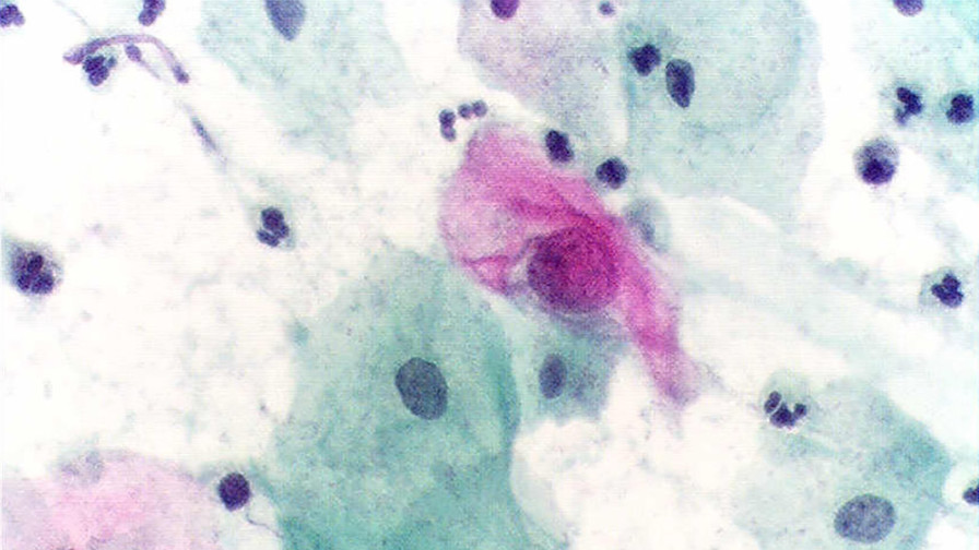
- Клетки нездорового вида
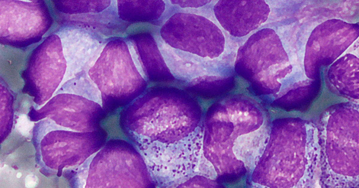
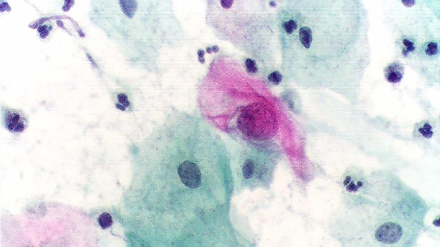
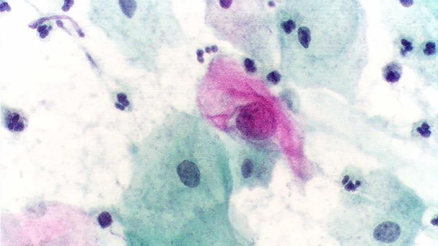
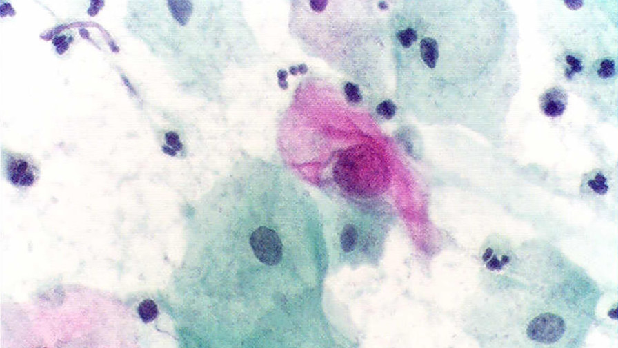
В 1928 году греческий медик Георгиос Папаниколау опубликовал сообщение о перспективном методе диагностики рака шейки матки. Папаниколау научился под микроскопом отличать раковые клетки от нормальных. С 60-х годов XX века Пап-тест (от фамилии Папаниколау) используется почти во всем мире. За время его широкого применения смертность от рака шейки матки снизилась на 50 процентов.
Только в XXI веке у него появились альтернативы — генетические исследования, позволяющие детектировать вирус папилломы человека, связь которого с развитием доброкачественных и злокачественных новообразований шейки матки была открыта много позже разработки Пап-теста.

- Поиск по молекуле
Следующим шагом в диагностике рака стало обнаружение онкомаркеров — веществ, которые вырабатываются в раковых клетках и либо вовсе отсутствуют в здоровых, либо вырабатываются в гораздо меньших количествах, чем в здоровых.
Открытием онкомаркеров мы обязаны экспериментам, в которых ученые искусственно вызывали рак у грызунов. В клетках индуцированных опухолей обнаружились характерные только для неопластических клеток антигены — вещества, по которым иммунная система распознает чужеродный объект. Первым известным онкомаркером стал альфа-фетопротеин. Открытый в 1944 году в сыворотке крови телят, этот белок отсутствовал в крови взрослых коров. Спустя десятилетие было показано, что он присутствует в опухоли печени — гепатоме, но не встречается в здоровой печени. Это был неидеальный онкомаркер: он вырабатывается не только при раке печени, но и при беременности, неонкологических заболеваниях и повреждениях печени. И тем не менее анализ на альфа-фетопротеин до сих пор используется для диагностики гепатомы.

Позднее были обнаружены десятки веществ, с большей или меньшей избирательностью указывающих на развитие онкологических заболеваний. Одни используют при подозрении на рак, другие — для выявления метастазов, или измерения успеха лечения, или прогноза развития заболевания. Идеальных онкомаркеров, однако, не существует: все они время от времени дают ложноположительные результаты, многие характерны не только для рака, но и для ряда других болезней и состояний. Более точно диагностировать рак позволяют генетические исследования.
- От хромосомы — к гену
Гипотезу о том, что причиной рака служат патологии хранения и передачи генетической информации, высказали уже в конце XIX века. В это время исследовали процесс клеточного деления, сформировали представление о хромосомах как о носителях генетической информации и описали видимые под микроскопом внешние признаки патологий деления. В 1914 году немецкий зоолог Теодор Бовери, опираясь на исследования морских ежей, высказал гипотезу о том, что причиной развития рака могут быть патологии митоза, приводящие к изменению числа хромосом.
