Врачи описали два случая передачи опухоли от матери ребенку во время родов

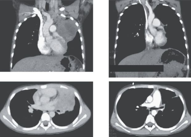
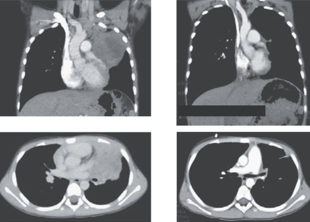
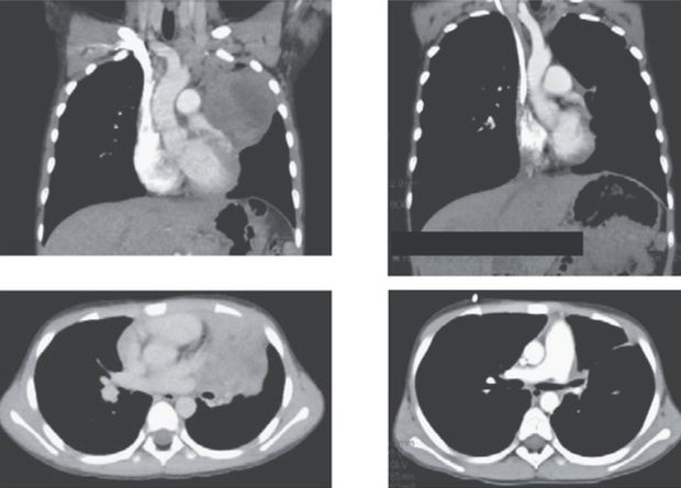
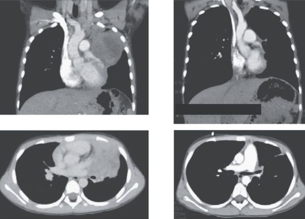
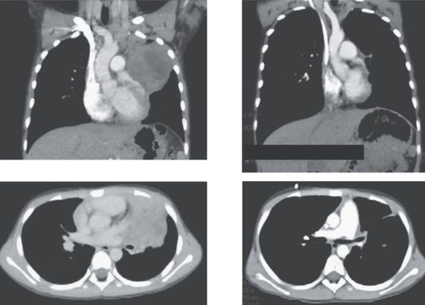
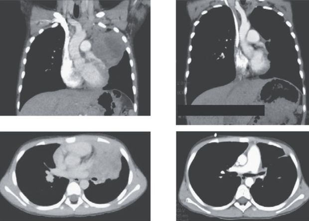
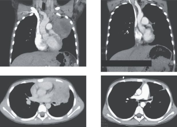
Японские врачи описали два случая, в которых дети «заразились» от матерей раком шейки матки. У обоих мальчиков опухоли выросли в легких — однако и по строению ткани, и генетически были очень похожи на материнские: например, в них не было Y-хромосом. Поэтому исследователи предположили, что передача опухоли произошла во время родов: когда дети проходили через шейку матки, раковые клетки попали к ним в дыхательные пути, а затем поселились и разрослись внутри легких. Отчет опубликован в журнале The New England Journal of Medicine.
В отличие от тасманийских дьяволов, люди очень редко заражаются онкологическими болезнями друг от друга. Отчасти дело в том, что иммунная система у человека работает активнее, чем у многих сумчатых животных, поэтому быстро вычисляет чужака и не дает ему разрастись в полноценную опухоль. Тем не менее иногда трансмиссивный рак встречается и у людей — чаще всего это люди с подавленным иммунитетом, близнецы (опухоли которых, как и другие клетки, генетически идентичны) или дети в утробе матери.
У развивающегося ребенка иммунитет еще не работает в полную силу и не может противостоять материнской опухоли. Зато плод отделен от материнского кровотока плацентой, через которую раковым клеткам пробраться непросто. Поэтому такое заражение встречается крайне редко: примерно один раз на 500 тысяч онкобольных матерей. Теперь Аюму Аракава (Ayumu Arakawa) из государственной
