Скрининг не снизил смертность от рака яичников

Скрининг, определяющий онкомаркер CA-125, помог выявить рак яичников на ранней стадии, но не уменьшил смертность. Работа, опубликованная в Lancet сравнила смертность у женщин, для которых проводился скрининг на рак яичников, и у женщин, для которых такой скрининг не проводился. Оказалось, что использовать его для уменьшения смертности нецелесообразно.
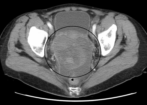
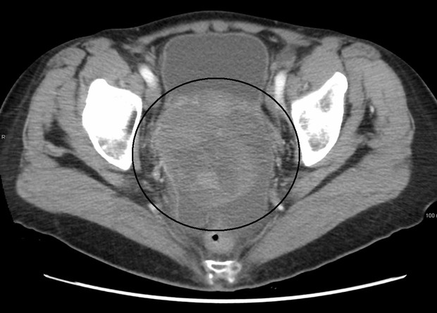
Заболеваемость раком яичников составляет 10,9 на 100000 женщин из общей популяции в год. Среди раков гинекологической сферы у рака яичников самая большая смертность (6,7 женщин на 100000 всех женщин в год). Заболевание характерно в первую очередь для женщин после менопаузы (средний возраст 63 года) и часто возникает у нерожавших, а также у тех, кто принимает эстрогены после климакса. Если в семье были случаи рака яичников, груди или толстой кишки, то это тоже влияет на предрасположенность к заболеванию. Факторы риска есть у многих женщин, но не у всех развивается рак, а у некоторых женщин без факторов риска он, наоборот, развивается. Медицина пока не может точно предугадать возникновение рака, поэтому пытается выявить его на ранних стадиях, основываясь на симптомах, онкомаркерах и ультразвуковом исследовании.
