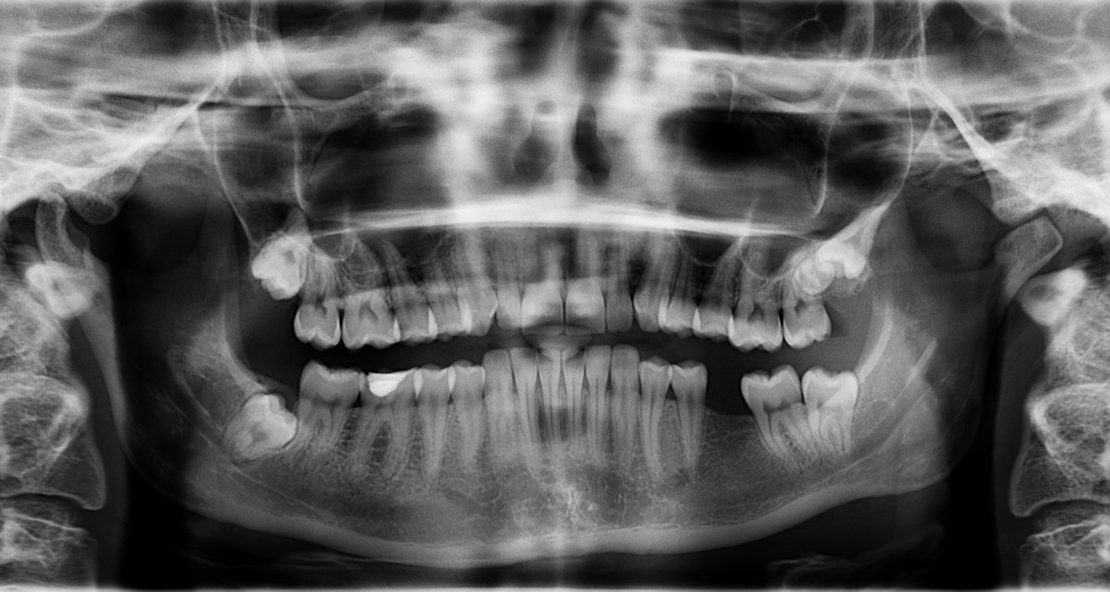
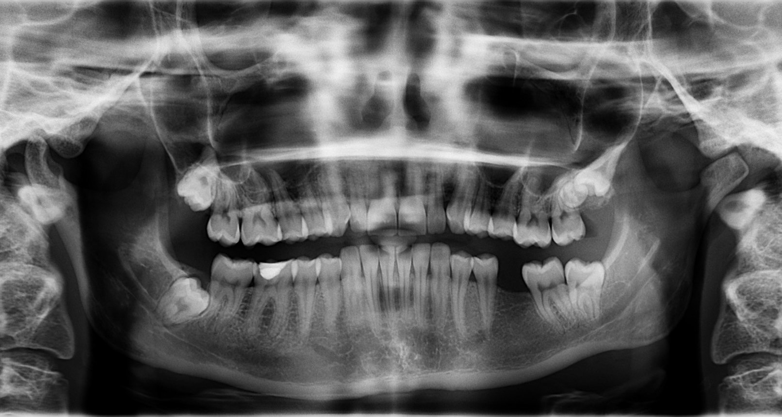
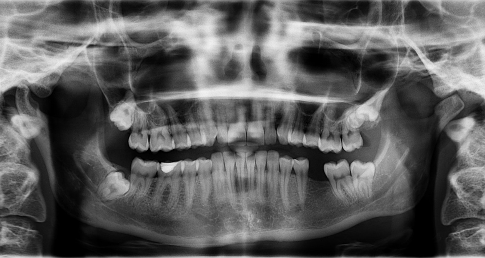
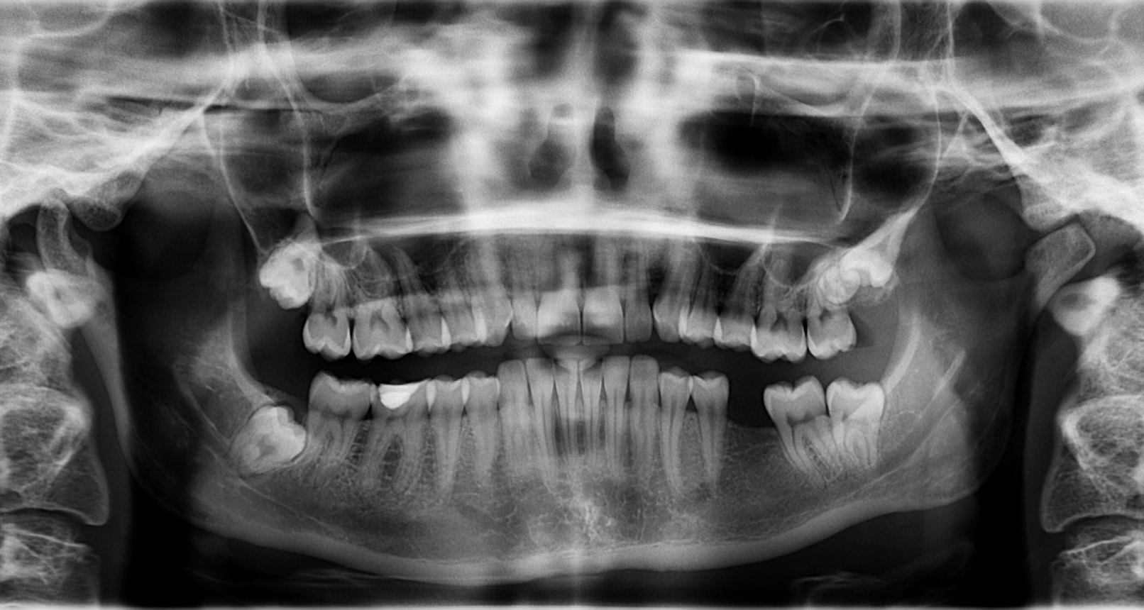
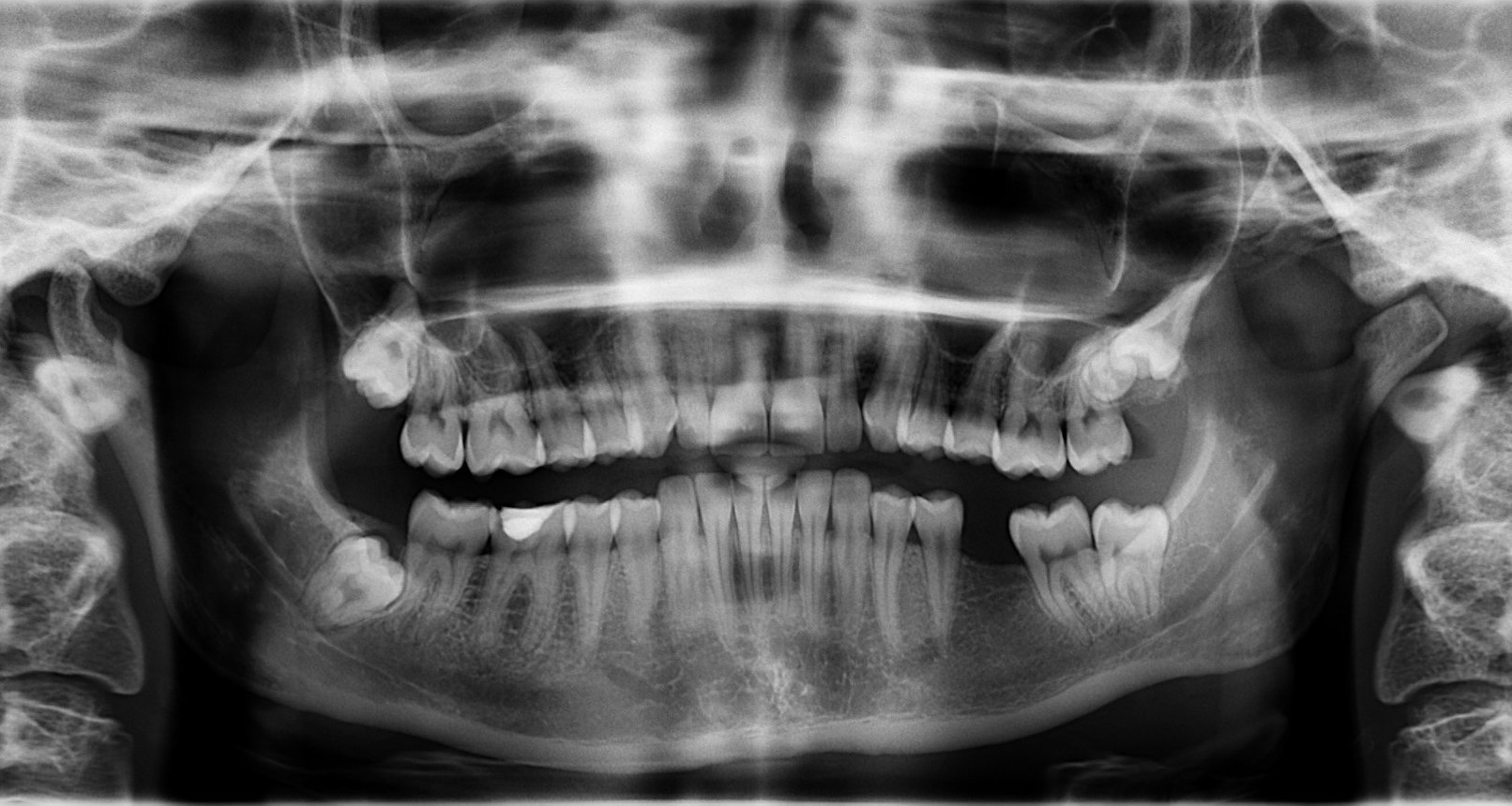
Почему зубы не считаются костью

Наши зубы, как и кости, твердые и белые. И на этом, пожалуй, сходство двух частей человеческого тела заканчивается. А дальше начинаются различия, коих наберется два товарных вагона: начиная от химического состава, заканчивая механическими и биологическими функциями. Объясняем научно-популярным языком, почему зубы точно не кости, а кости точно не зубы.
Зубы состоят из кальция, фосфора и других минералов. Кости тоже содержат кальций с фосфором, но в основном состоят из белкового коллагена. Коллаген - это живая, растущая ткань, которая дает костям относительно гибкий каркас. Кальций заполняет пространство вокруг каркаса и делает кость достаточно прочной, чтобы выдерживать вес тела и другие нагрузки.

Для костей прочность - важнейшая характеристика, ведь среди основных механических функций всего скелета опора, движение и защита внутренних органов. Если удалить полностью весь скелет из нашего тела мы не только похудеем в среднем на 15%. Представьте себе здоровенный мешок с киселем - именно так будет выглядеть человек без скелета. Мы даже не сможем сдвинуться с места.
