Палеопатологи обнаружили в Синьцзяне останки древнего кочевника с анкилозом коленного сустава

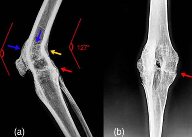
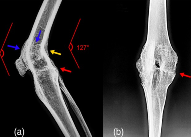
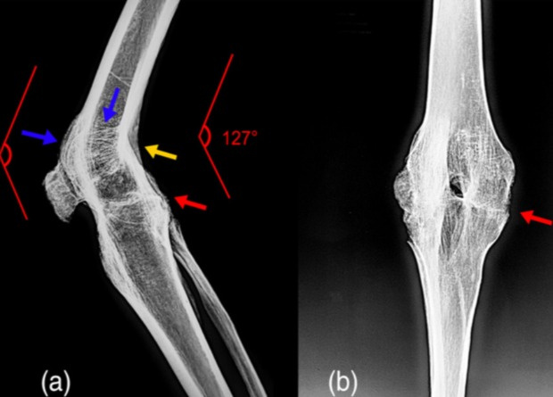
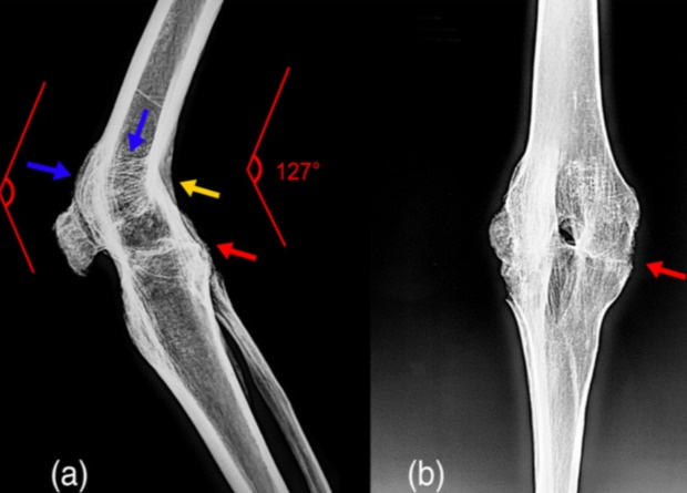
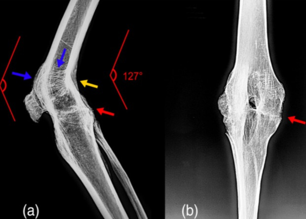
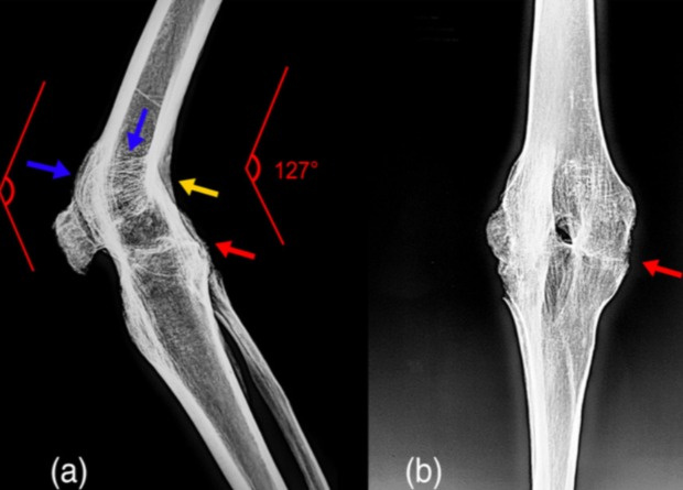
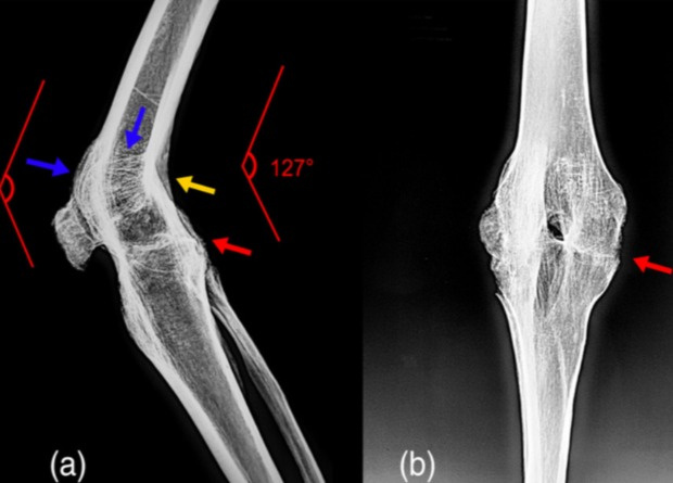
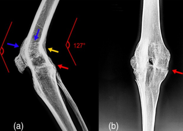
Палеопатологи исследовали останки кочевника, захороненного в Синьцзяне около 542–391 годов до нашей эры. Они обнаружили у него ряд патологий, среди которых выделяется анкилоз коленного сустава. Похоже, он развился за несколько лет до смерти из-за септического артрита, вызванного разрывом связки. Результаты исследования опубликованы в International Journal of Osteoarchaeology.
Анкилоз представляет собой неподвижность сустава, которая возникает из-за сращивания суставных концов сочленяющихся костей или разрастания фиброзной ткани. Как правило, эта патология развивается вследствие травм и заболеваний, хотя иногда носит врожденный характер из-за артрогрипоза. Чаще всего анкилоз развивается на нижних конечностей. Так, самой распространенной формой выступает анкилоз коленного сустава (порядка 50 процентов случаев).
Анкилоз коленного сустава известен и в археологическом контексте. По всей видимости, самым известным примером служат останки отца Александра Македонского — царя Филиппа II, который за три года до его убийства в 336 году до нашей эры получил ранение копьем в ногу, оставившее его хромым из-за развития анкилоза. Похожую патологию ученые обнаружили на останках женщины 36–45 лет, погребенной в английском средневековом некрополе около 1250–1400 годов. Известны такие останки и в Китае, где в ходе раскопок в Синьцзяне археологи нашли останки мужчины 50–65
