Палеопатологи обнаружили следы гнойных инфекций в древнеегипетских детских мумиях

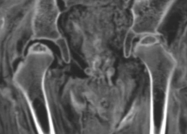
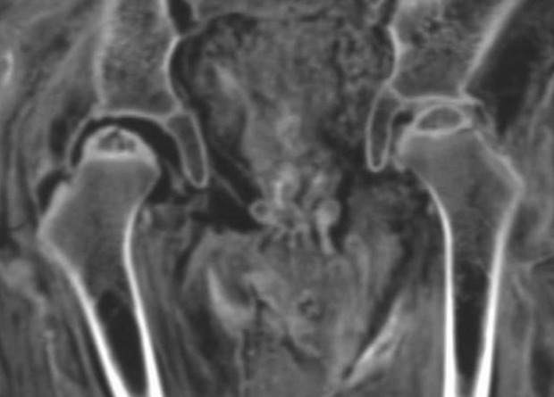
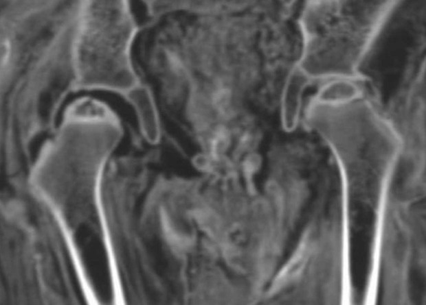
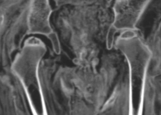
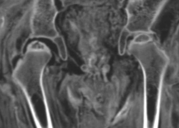
Палеопатологи исследовали с помощью компьютерной томографии 21 древнеегипетскую детскую мумию. Ученые определили пол и возраст на момент смерти большинства этих детей, а также обнаружили у трех индивидов свидетельства перенесенных гнойных инфекций: синусита, паратонзиллярного (или парафарингеального) абсцесса, целлюлита или абсцесса, а также септического артрита. Результаты исследования опубликованы в International Journal of Paleopathology.
Развитие палеорадиологии, то есть исследований биоархеологических материалов с помощью современных методов визуализации — рентгенографии, компьютерной и магнитно-резонансной томографии, трехмерной реконструкции и некоторых других технологий, внедренных в медицинскую практику в конце XX века, позволило ученым значительно продвинуться в изучении мумифицированных останков. Более того, традиционное патолого-анатомическое исследование древних тканей не только приводит к порче археологических находок, но и физически трудно реализуемо из-за сухости и жесткости мумифицированных останков. Палеорадиология же позволила узнать многое о жизни и смерти древних людей, например, об Этци, подробно узнать о котором можно в нашем материале «Из пропасти во льду».
