Палеогенетики впервые прочитали ДНК из древнеегипетских каноп

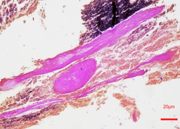
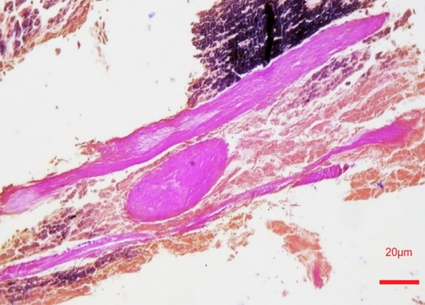
Палеогенетики впервые отсеквенировали ДНК из образцов биологического материала, извлеченных из древнеегипетских каноп. Хотя качество прочтения в большинстве случаев оказалось крайне низким, в двух случаях ученым удалось определить митохондриальные гаплогруппы людей: H и R0a1. Поскольку они встречаются как в древних, так и в современных популяциях, с уверенностью нельзя говорить о том, что это не результат позднего загрязнения. Об этом сообщается в статье, опубликованной в American Journal of Biological Anthropology.
Развитие практики мумификации в Древнем Египте привело к появлению набора из четырех сосудов — каноп, которые использовались для хранения извлеченных внутренних органов в гробнице. Материалом для их изготовления обычно служил камень (например, травертин — «египетский алебастр»), но известны также изделия из глины, фаянса и дерева. Считается, что канопы стали использоваться в эпоху Древнего царства (около 2600 годов до нашей эры), когда Египтом правили фараоны V династии. Каждый сосуд предназначался для конкретного органа: печени, желудка, кишечника и легких.
