Нейробиологи описали стандартную траекторию развития головного мозга

Несколько десятков нейробиологов объединили свои усилия, чтобы вывести стандартную кривую развития человеческого мозга. Собрав результаты МРТ от сотни тысяч людей, они подсчитали, как в норме изменяются разные параметры коры, подкоркового вещества и спинномозговой жидкости. Оказалось, что далеко не все характеристики изменяются синхронно — причем пики их развития соответствуют разным периодам жизни человека. Также выяснилось, что люди с некоторыми психиатрическими заболеваниями по этим параметрам отличаются от нормы, хотя, как предупреждают авторы статьи, ставить конкретные диагнозы с опорой на эту кривую пока рано. Работа опубликована в журнале Nature.
Чтобы оценивать, насколько развитие ребенка соответствует норме или отклоняется от нее, педиатры используют таблицы стандартов. В них обычно включают рост и вес, иногда другие параметры, вроде окружности головы. Но для многих отдельных органов таких стандартов не существует, в том числе и для мозга. Это связано, в том числе, с тем, что большинство исследований строения и работы мозга проводятся на небольших выборках. А в тех случаях, когда врачи изучают отклонения от нормы, в выборку обычно попадают пациенты только с одним типом болезней.
Поэтому нейробиологи поставили перед собой задачу обобщить и систематизировать данные, накопленные разные проектами. Ричард Бетлехем (Richard Bethlehem) из Кембриджского университета и еще несколько десятков ученых из разных институтов, компаний и исследовательских групп попробовали построить стандартную таблицу развития головного мозга для всей жизни человека, от зачатия и до глубокой старости.
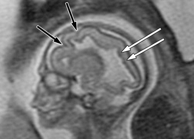
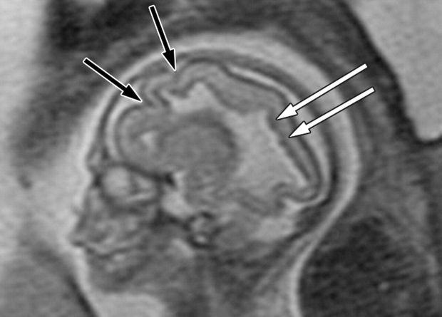
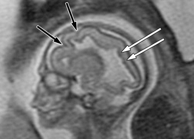
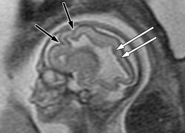
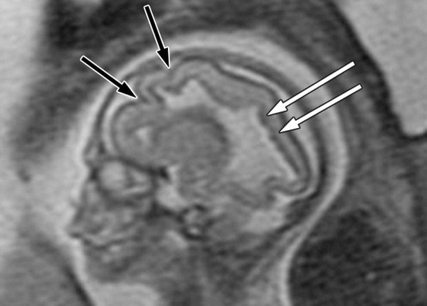
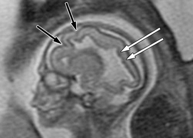
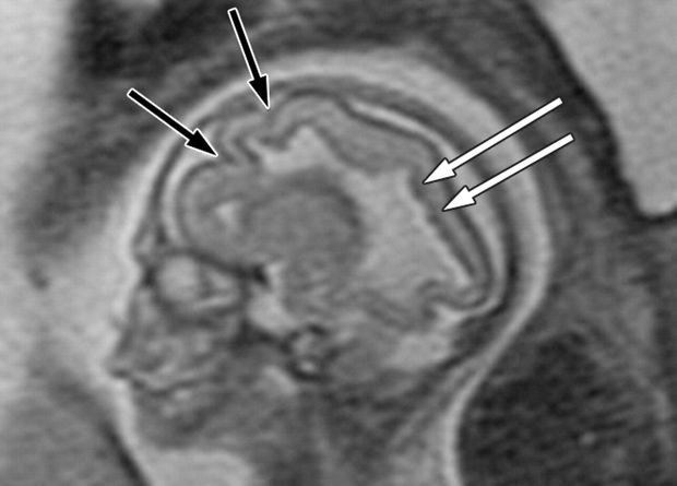
Для этого они собрали данные из более ста проектов, в которых суммарно участвовали 101 457 человек, от четырехмесячных эмбрионов до столетних долгожителей. Исследователей интересовали четыре метрики: объем серого вещества в коре головного мозга, объем подкоркового серого вещества, общий объем белого вещества и объем спинномозговой жидкости (которая содержится в том числе в желудочках головного мозга). Из этих
