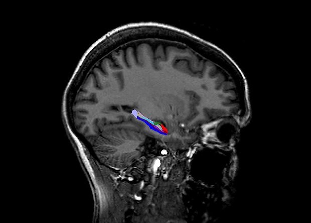
Мужской гиппокамп отличился от женского объемом отдельных структур

Австралийские ученые обнаружили зависимые от пола различия в объеме некоторых структур гиппокампа. Оказалось, что у мужчин, к примеру, больше парасубикулум, пресубикулум, фимбрия и гиппокампальная борозда, а вот у женщин чуть больше гиппокампальный хвостик. Различия наблюдались независимо от общего объема гиппокампа, что необходимо учитывать в будущих исследованиях анатомический структур, пишут ученые в журнале NeuroImage.
Исследования, проведенные на больших выборках людей, указывают на отсутствие значимых структурных различий, которые помогли бы достоверно отличить женский мозг от мужского. Несмотря на это, некоторые анатомические особенности головного мозга все же зависят от пола, но чаще всего эта зависимость объясняется тем, что объем мужского мозга в среднем больше, чем размер мозга женского.
При этом не все исследования учитывают различия в общем объеме мозга и объеме отдельных больших структур в качестве побочной переменной, поэтому консенсуса по отсутствию или же наличию структурных различий некоторых участков в женском и мужском мозге чаще всего нет. Касается это, например, гиппокампа — участка головного мозга, который играет одну из важнейших ролей
