Лобная доля мозга не смогла научиться языку без височной

Наличие височной доли — обязательное условие для обработки языка лобной долей и, как следствие, — для появления языка в полушарии вообще. К такому выводу пришли американские ученые, которые изучили мозг женщины, в раннем возрасте утратившей височную долю левого полушария. Всю обработку языка на себя взяло правое полушарие, а вот в левом полушарии речь не обрабатывалась вообще — даже в лобной доли, которая осталась цела и выполняла другие функции, пишут ученые в журнале Neuropsychologia.
Основную роль в обработке языка в мозге человека играет нейронная сеть, объединяющая две находящиеся рядом части — лобную и височную долю. Эта связь начинает формироваться в период от года до трех лет, когда ребенок наиболее активно учится языку, укрепляется в полушарии (практически всегда — в левом) к четырем годам и развивается далее вплоть до взрослого возраста.
Несмотря на то, что роль лобно-височных сетей в обработке языка хорошо известна, об особенностях ее формирования (помимо примерных временных рамок) известно не так много — во многом из-за недостатка исследований с участием детей в тот период, когда они только учатся говорить. Например, неясно, какую роль друг для друга играют две части лобно-височной сети: формируются ли они индивидуально, а затем связываются функционально, или же наличие одной из них обязательно для развития и работы другой.
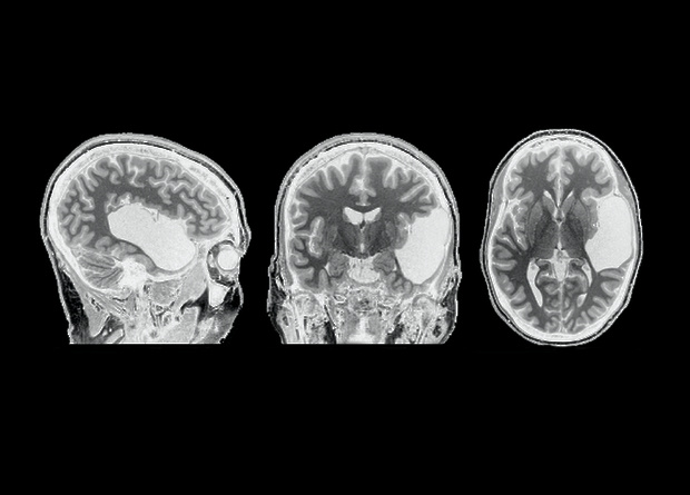
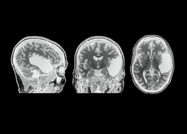
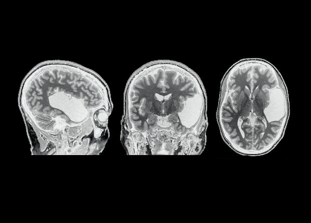
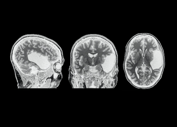
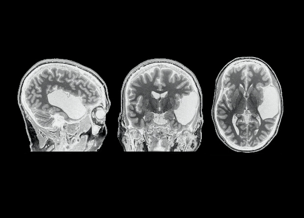
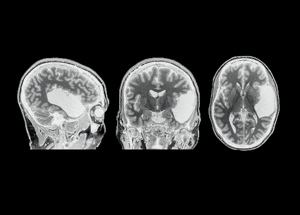
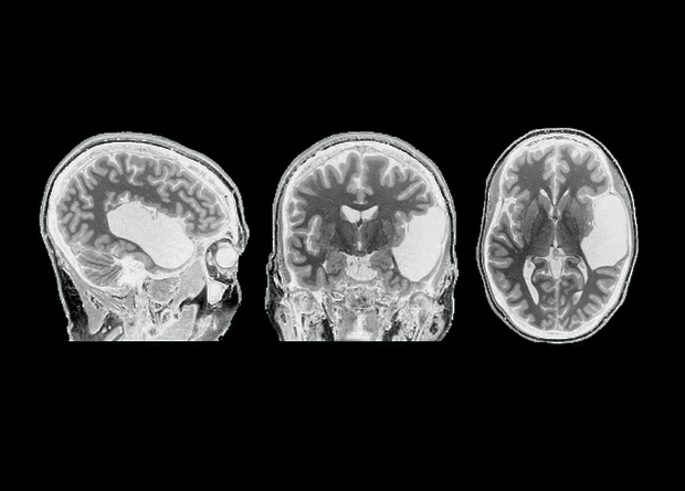
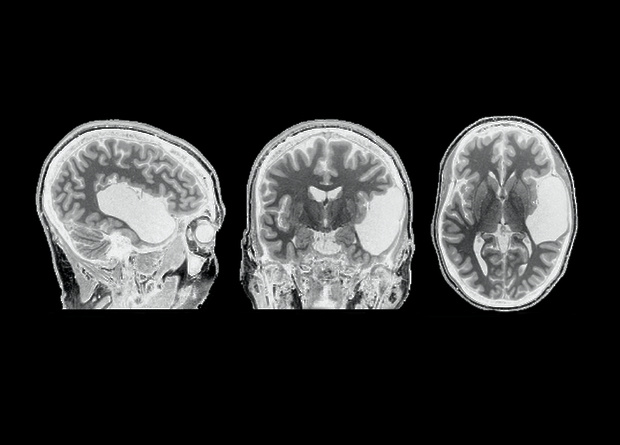
Чтобы ответить на этот вопрос, Эвелина Федоренко (Evelina Fedorenko) из Массачусетского технологического института вместе с коллегами изучила мозг женщины, которая живет без височной доли левого полушария головного мозга всю свою жизнь. Предположительно, ЕГ (так называют участницу исследования в статье) перенесла инсульт еще до рождения, но на ее развитии это не сказалось: у нее есть ученая степень, а помимо родного английского она практически
