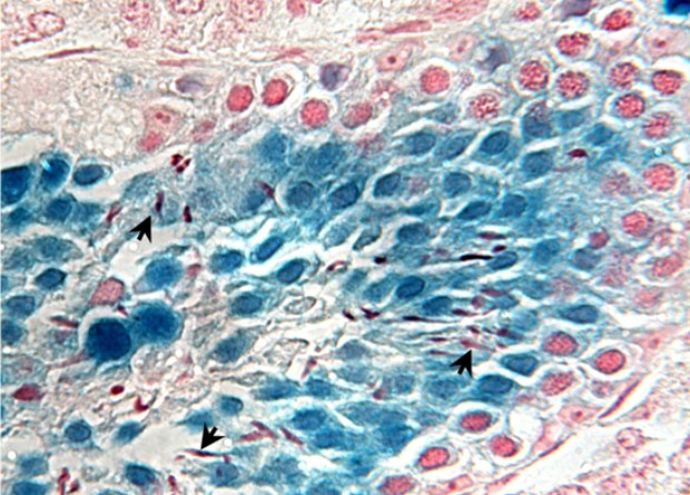
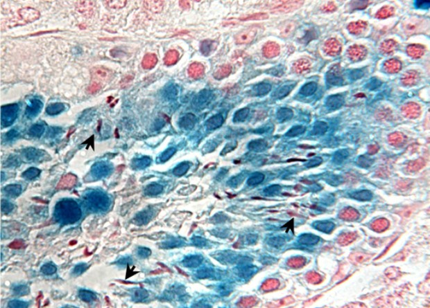
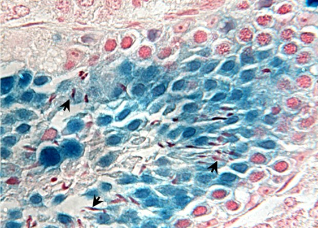
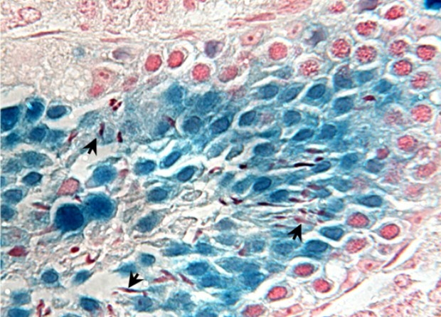
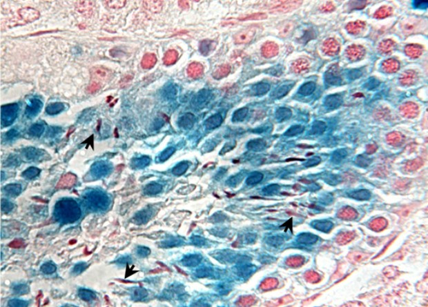
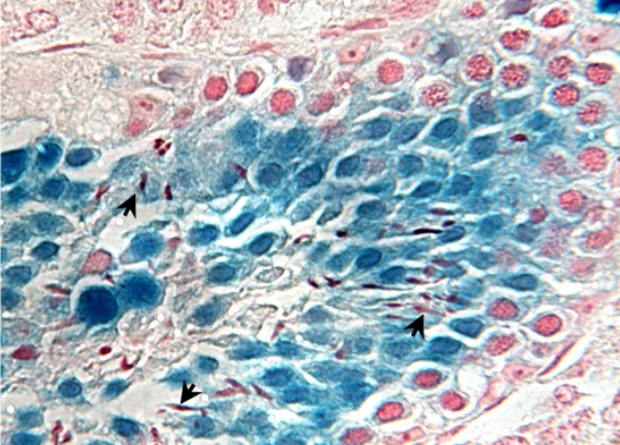
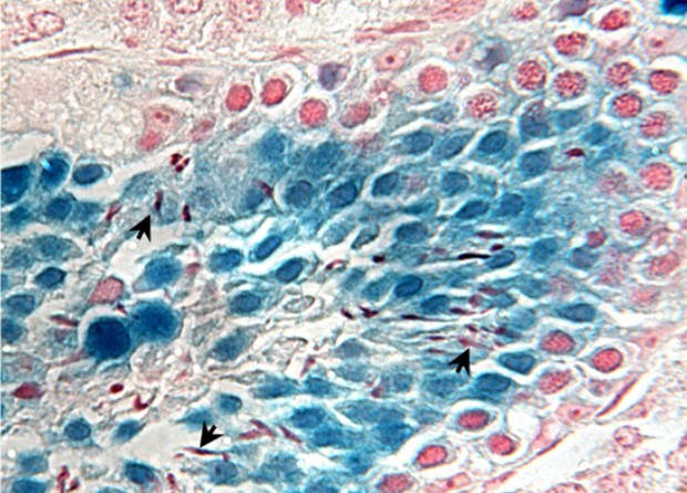
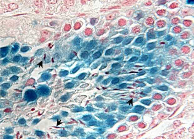
Крысиные предшественники сперматозоидов остались работоспособны после 23 лет заморозки

Американские ученые проверили, что происходит с предшественниками половых клеток крысы за время долгого хранения в жидком азоте. Оказалось, что после разморозки и имплантации в семенник они способны делиться и производить сперматозоиды. Правда, в этом они все равно проигрывают как свежим клеткам-предшественникам, так и клеткам после короткой заморозки. А значит, использовать эту стратегию у людей может быть непросто. Работа опубликована в журнале PLoS Biology.
Замораживать половые клетки может быть полезно не только тем, кто хочет продлить свой репродуктивный период, но и тем, кто до него еще не дожил. Особенно остро эта проблема стоит у детей с онкологическими диагнозами. Врачи назначают им терапию, которая может навредить любым быстро делящимся клеткам в организме, в том числе и половым.
Чтобы оставить таким пациентам возможность завести собственных детей, когда они справятся с болезнью и вырастут, можно попробовать заморозить их половые клетки до терапии. Но дальше этим клеткам предстоит провести в криоконсервированном состоянии по меньшей мере годы, а то и десятки лет. И до сих пор не вполне ясно, могут ли они пережить такой долгий срок в заморозке.
Известно, что человеческие эмбрионы, замороженные на ранних стадиях развития, могут просуществовать замороженными по меньшей мере 27 лет. Человеческие сперматозоиды — не меньше 40 лет. Но у маленького ребенка еще нет готовых сперматозоидов, поэтому придется замораживать их предшественники. И сколько они могут продержаться в жидком азоте и будут ли функциональны после разморозки, пока неизвестно.
