Генотипы А и D вируса гепатита В распространились по Европе около 4000 лет назад

Палеогенетики проанализировали 137 древних ДНК вируса гепатита В возрастом 400–10500 лет назад и выяснили, что последний общий предок всех современных генотипов существовал между 12 и 20 тысячами лет назад. Генотипы А и D, доминирующие сегодня в Западной Евразии, начали распространяться по Европе, по всей видимости, в конце II тысячелетия до нашей эры. Линии вируса, доминировавшие в эпоху неолита и бронзы, оказались предковым для современного генотипа G. Статья с результатами исследования опубликована в журнале Science.
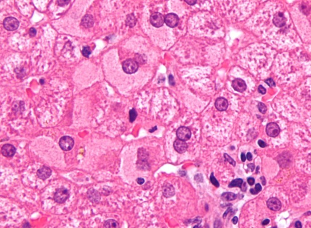
Гепатит В представляет собой инфекционное вирусное заболевание, которое поражает печень. Чаще всего передача вируса происходит от матери к ребенку, при половых контактах или небезопасных практиках выполнения инъекций. По данным Всемирной организации здравоохранения, в 2019 году в мире проживало около 296 миллионов человек с хроническим гепатитом В (в 2015 году сообщалось о 257 миллионах человек), от которого за год умерло более 800 тысяч людей. Наиболее тяжелая обстановка с этим заболеванием наблюдается в странах западной части Тихого океана и в Африке. По данным Минздрава России, в России насчитывалось в 2018 году более 900 тысяч носителей вирусного гепатита, однако доминирующим видом является гепатит С (подробнее узнать о гепатитах и борьбе ученых с ними можно в нашем материале «Билет в человечество»).
Вирус гепатита B относится к семейству гепаднавирусов (Hepadnaviridae), то есть ДНК-содержащих вирусов, поражающих печень. На основе анализа нуклеотидных последовательностей генов ученые выделяют десять основных генотипов этого вируса, которые обозначаются буквами латинского алфавита от A до J. В России сегодня наиболее распространены генотипы D и A, на которые приходится, соответственно, около 90 и 10 процентов случаев заражений.
