Функциональная МРТ указала на два пути формирования алкоголизма в мозге подростков

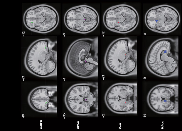
Нейронная сеть, связывающая медиальную орбитофронтальную кору с центральным серым веществом среднего мозга, участвует в формировании алкогольной зависимости у подростков двумя путями. В первом подавляется центральное серое вещество, и подросток ощущает только достоинства алкоголя, но не чувствует его побочных эффектов и не пытается остановиться, а во втором, наоборот, центральное серое вещество активируется, и подросток ощущает ситуацию как неприятную и угрожающую и, желая поскорее уйти от этого чувства, ищет избавления в алкоголе. Это ученые выяснили, изучив данные фМРТ покоя и с когнитивной нагрузкой, а также поведение почти двух тысяч подростков 14 лет, употребляющих и злоупотребляющих алкоголем, и сопоставили их с данными этих же подростков в 19 лет. Статья опубликована в журнале Science Advances.
Известно, что неконтролируемое потребление алкоголя у крыс и мышей с одной стороны связано с дефицитом экспрессии транспортера ГАМК — важнейшего тормозного нейромедиатора, в центральное ядро миндалины, из-за чего крысы предпочитают сладкому раствору алкоголь, а с другой — со снижением влияния медиальной префронтальной коры на центральное серое вещество, из-за чего грызуны перестают реагировать на негативные сигналы, в том числе не избегают алкоголь и не ощущают его побочные эффекты. Но чтобы понять, какая нейронная сеть ответственна за формирование алкогольной зависимости, необходимо не просто выделить области мозга, но и понять как эти области взаимодействуют между собой.
Тианье Цзя (Tianye Jia) из Университета Фудань и коллеги изучили поведение и данные фМРТ 1890 подростков из проекта IMAGEN в возрасте 14 лет и сопоставили их с данными этих же подростков в их 19 лет (N = 1242). Данные фМРТ были получены в состоянии покоя и во время выполнения задачи с обещанным вознаграждением (0, 2 или 10 очков: участники сначала видели стимул, обозначающий величину выигрыша, затем фокусировали внимание на белый крест, а после
