Две огромные опухоли в животе у беременной итальянки оказались лейомиомами
Одну вырезали, а другую оставили
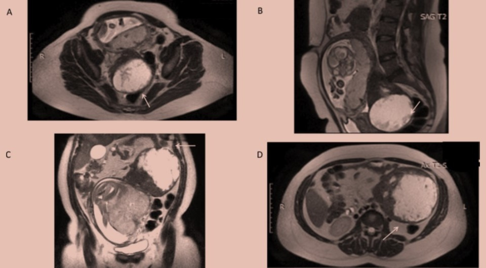
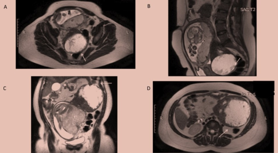
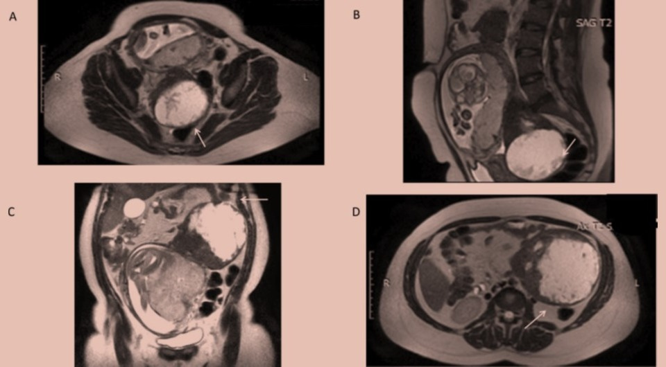
Итальянские хирурги обнаружили две крупные лейомиомы матки у пациентки на 21 неделе беременности. Одна из них располагалась под диафрагмой и мешала женщине дышать, а вторая занимала Дугласово пространство, что могло привести к нарушениям во время родов. Верхнюю опухоль вырезали, а нижнюю оставили из-за высоких акушерских рисков. Здоровый ребенок родился в срок с помощью кесарева сечения. Случай описан в BMJ Case Reports.
Диагностика и лечение объемных образований в брюшной полости значительно ограничены во время беременности. Для визуализации этой области доступны только ультразвуковые исследования и магнитно-резонансная томография, при этом анализы крови на опухолевые маркеры могут быть неинформативны. Хирургическое лечение таких опухолей представляет большой риск как для матери, так и для плода, однако и выжидательная тактика может привести к патологиям беременности и родов.
