Донорские стволовые клетки позволили новорожденному японцу дожить до пересадки печени

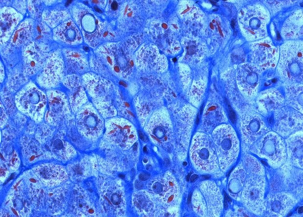
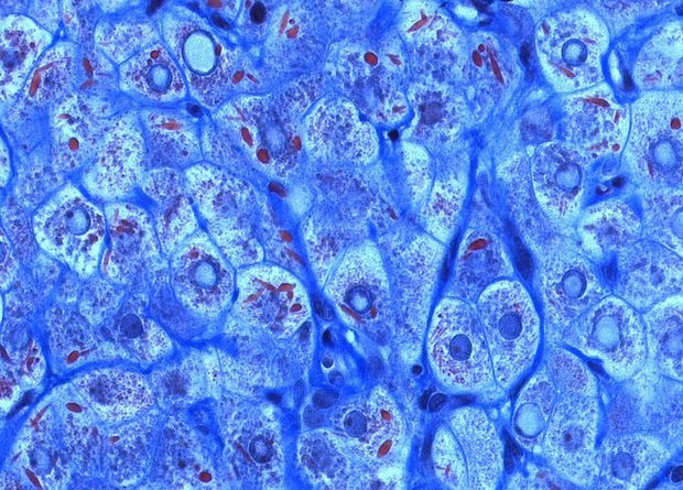
Японские медики провели первую в мире операцию по спасению печени новорожденного стволовыми клетками. Младенец страдал редкой генетической патологией, из-за которой в его крови накапливался аммиак. Ему требовалась пересадка печени, однако сразу после рождения проводить трансплантацию слишком опасно. Чтобы восстановить обмен аммиака в организме ребенка, врачи ввели в его кровоток клетки печени, полученные из эмбриональных стволовых клеток. В течение нескольких дней следы интоксикации исчезли, а после печень благополучно заменили на новую. Детали процедуры можно найти в пресс-релизе японского Национального центра здоровья и развития детей.
Эмбриональные стволовые клетки — самые могущественные из стволовых клеток, которые, тем не менее, в медицине почти не применяют. Дело в том, что их получают из ранних зародышей человека, и следовательно, невозможно наладить их поточное производство. Кроме того, использовать их довольно опасно: внутри организма они могут дифференцироваться в любой клеточный тип и образовать опухоль.
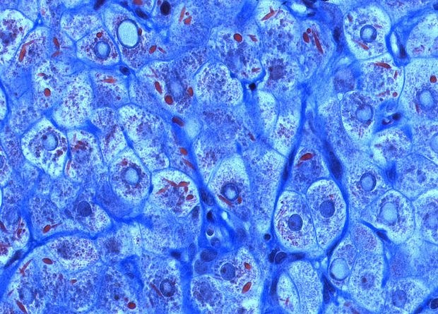
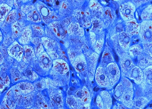
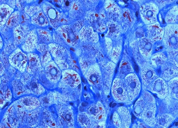
Японские врачи придумали новый способ использовать эмбриональные стволовые клетки — выращивать из них гепатоциты (клетки печени). Дело в том, что в других странах — например, США — при повреждениях печени пациентам вводят гепатоциты от мертвых доноров. В Японии таких донорских клеток не хватает. Зато есть несколько установленных линий эмбриональных стволовых клеток, которые биологи однажды получили из «донорских» зародышей и продолжают культивировать в лаборатории.
