Дифференцировку моноцитов в толстой кишке у мышей связали с интерфероном 5
Интерферон 5 влияет на дифференцировку моноцитов в CD11c+ воспалительные макрофаги в толстой кишке у мышей. В исследовании, опубликованном в Science Immunology, авторы пишут, что открытие позволяет дополнить картину патогенеза воспалительных заболеваний толстого кишечника, а также раскрывает новые аспекты воспаления, как патологического процесса.

Регуляторный фактор интерферона 5 (IRF5) наряду с другими регуляторными факторами интерферона (IRF1, IRF2, IRF3, IRF4, IRF6, IRF7, IRF8 и IRF9) участвуют в регуляции воспалительного процесса, вызванном бактерией или вирусом. Каждый IRF отвечает за свою функцию в защите организма от инфекций. Известно, что IRF5 действует как молекулярный переключатель макрофагов, отдавая им команды на дифференцировку, размножение и участие в воспалительном процессе. Однако не было ясности, на дифференцировку каких клеток он влияет, а также какова его роль в реализации фенотипа клеток.
В исследовании под руководством Аластэра Корбина (Alastair L. Corbin) из Института ревматологии имени Кеннеди Оксфордского университета подробно описано, как влияет IRF5 на здоровые ткани толстой кишки, какова его роль в дифференцировке моноцитов в макрофагальной системе слизистой оболочки толстой кишки и в костном мозге при воспалении, вызванном бактерией Helicobacter hepaticus.
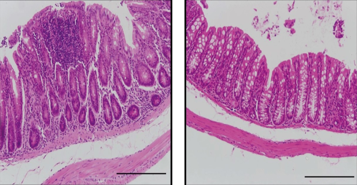
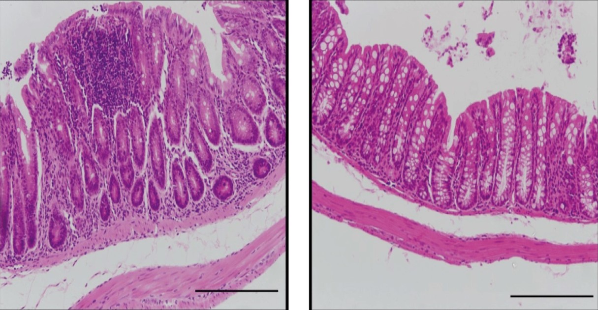
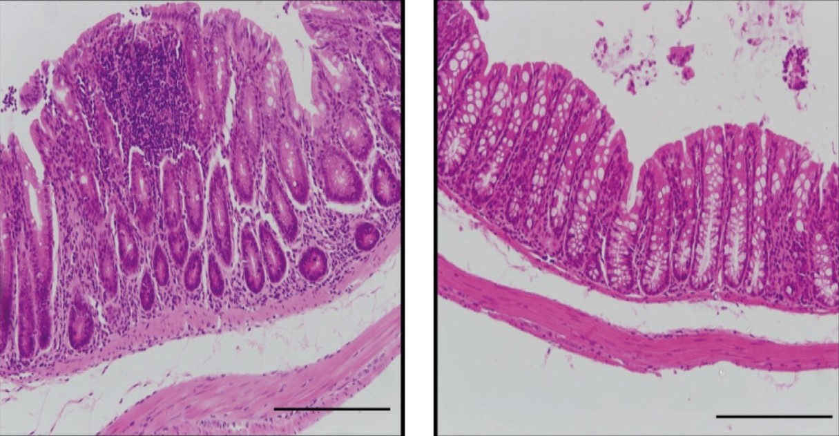
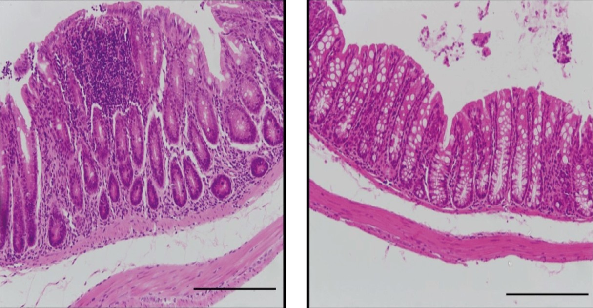
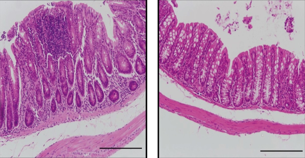
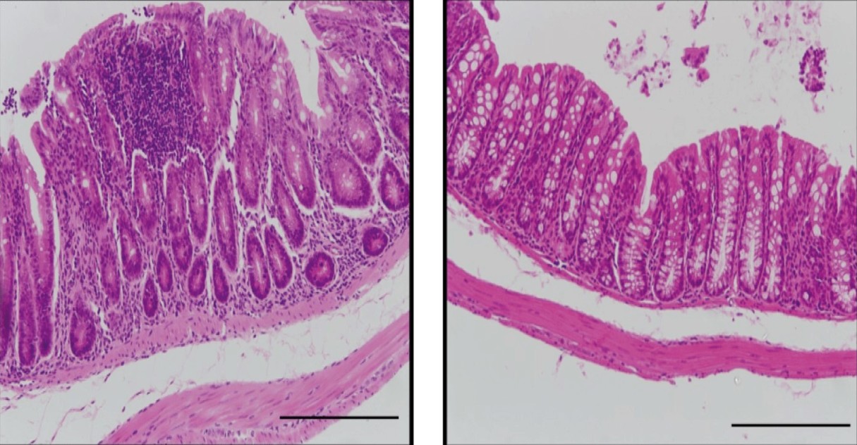
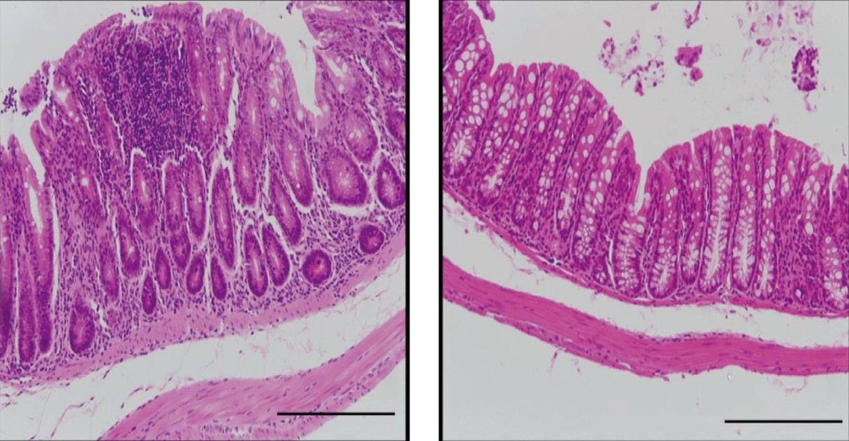
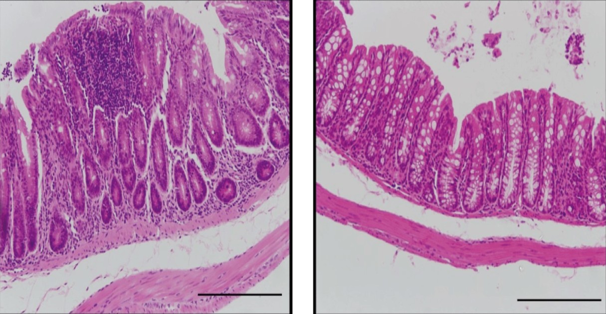
Сначала группа исследователей изучила влияние IRF5 на здоровые ткани толстой кишки. Ученые сравнивали биопсийные материалы толстой и слепой кишок мышей с не измененным уровнем выработки IRF5 и генетически модифицированных мышей, у которых отключили ген, отвечающий за синтез IRF5. При гистологическом исследовании не найдено (p≤0,01) морфологических отличий между контрольным и измененным образцами. Иммунные клетки собственной пластинки слизистой оболочки (лейкоциты CD45+) посчитали с помощью проточной цитометрии и выяснили, что их количество у мышей без IRF5 сопоставимо с показателями мышей из контрольной группы. Так ученые выяснили, что дефицит IRF5 слабо влияет на здоровую слизистую кишечника. Также ученые обнаружили, что немиелоидные и нелейкоцитарные популяции лейкоцитов (те лейкоциты, которые развились из предшественников клеток соединительной ткани в самой кишке) экспрессируют низкие
