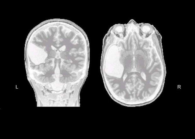
Центр Вернике оказался необходим для формирования центра Брока

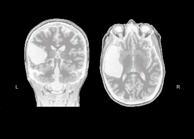
Для развития речевого центра в лобной доле (центра Брока) необходим функционирующий речевой центр в височной доле (центр Вернике) того же полушария. К такому выводу пришли американские ученые, когда проанализировали мозг женщины, у которой височная доля отсутствовала с рождения. Речевые функции у нее взяли на себя лобно-височные области правого полушария, а центр речи лобной доли левого полушария не работал. Исследование опубликовали на сайте препринтов bioRxiv.
У человека речевые функции связаны с активностью лобно-височных отделов мозга. При этом доминирующая роль в этом процессе у левого полушария. В нем наблюдается большая активность во время разговора по результатам функциональной магнитно-резонансной томографии, а при повреждении лобно-височных отделов левого полушария мозга во взрослом возрасте повреждаются речевые функции. При этом если повреждение произошло в раннем детстве, то правое полушарие может взять на себя контроль за речевыми функциями. Мы уже писали о детях, которые еще до рождения перенесли ишемический инсульт, повредивший левое полушарие. У них речевые функции стали выполнять лобно-височные отделы правого полушария.
