Британские онкологи связали прием каннабидиола с регрессом рака легкого у 80-летней пациентки

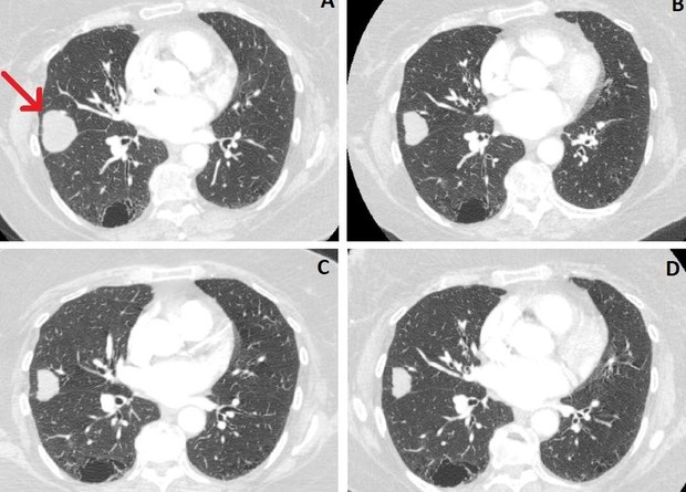
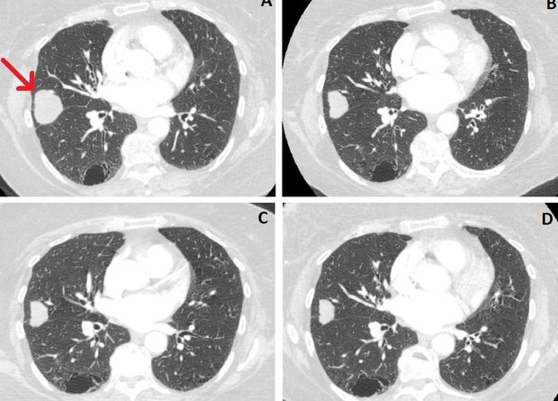
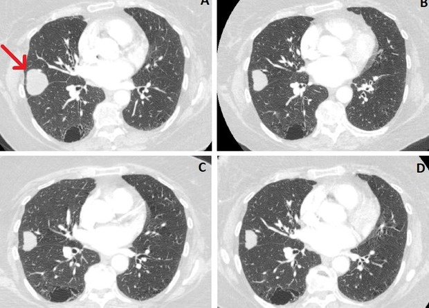
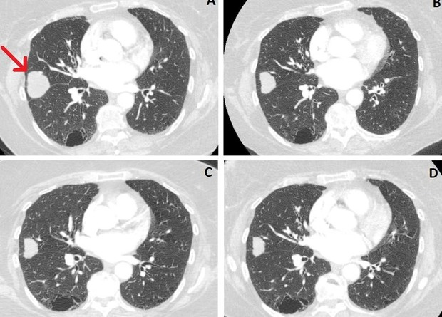
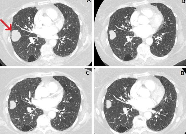
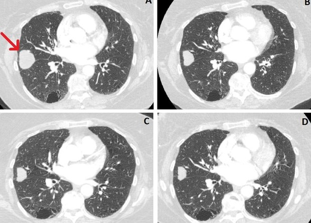
Британские врачи описали случай регресса злокачественной опухоли легкого у 80-летней женщины, который они связали с употреблением каннабидиола. Пациентка отказалась от операции и втайне от врачей принимала каннабиоид. Через 2,5 года размер опухоли легкого у нее уменьшился на 76 процентов. При этом другие медики настроены скептически: они считают, что регресс опухоли мог быть самопроизвольным и никак не связан с приемом каннабидиола. Случай описан в BMJ Case Reports.
Рак легких — один из самых распространенных видов злокачественных образований. Четверть смертей от рака в мире приходится на рак легких, при этом пятилетняя выживаемость при нем, если суммировать случаи рака легких на любой стадии, не превышает 25 процентов. Если опухоль небольшая и ее заметили на ранней стадии, то пациентам предлагают операцию. Также применяют лучевую терапию и химиотерапию, но они позволяют только уменьшить размер опухоли и продлить пациенту жизнь, а не дают полное излечение.
