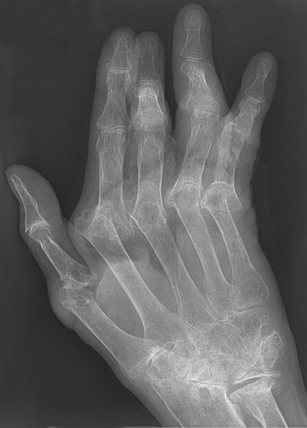
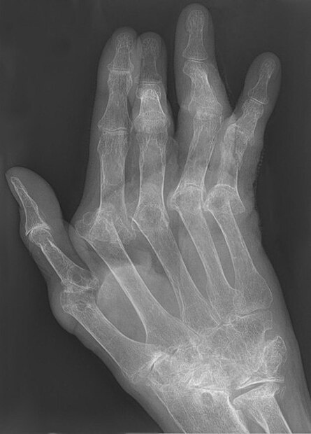
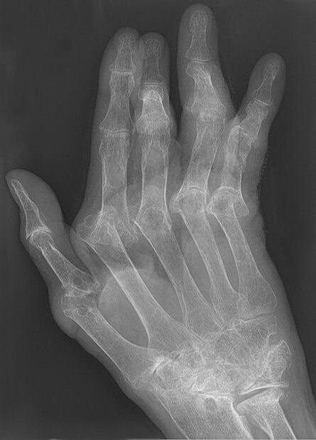
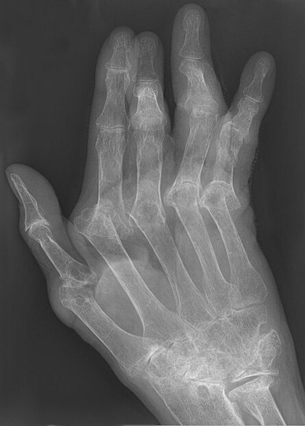
Активируемые воспалением стволовые клетки облегчили состояние мышей с ревматоидным артритом

Американские врачи разработали новый метод лечения ревматоидного артрита с помощью индуцированных плюрипотентных стволовых клеток. Они научили клетки производить антагонист рецептора провоспалительного цитокина, при этом его продукция активируется только тогда, когда в суставах развивается воспаление. В экспериментах на мышах стволовые клетки оказались эффективнее стандартных препаратов для лечения ревматоидного артрита. Исследование опубликовали в Science Advances.
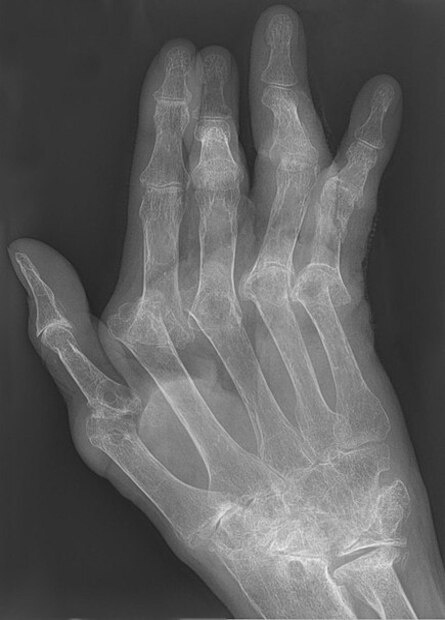
При ревматоидном артрите из-за аутоиммунной реакции воспаляются, а затем деформируются суставы. Пациенты достаточно быстро теряют подвижность и становятся инвалидами, поэтому важно начать лечение как можно быстрее, чтобы замедлить прогрессирование болезни. Лечат ревматоидный артрит препаратами, блокирующими воспаление, которые надо принимать постоянно и в больших дозах. Долговременная терапия такими препаратами приводит к множеству побочных эффектов: от тошноты и диареи до частых инфекций.
Группа американских врачей во главе с Фаршидом Гилаком (Farshid Guilak) из Университета Вашингтона в Сент-Луисе придумала, как избавиться от побочных эффектов, вводя лекарство локально и активируя его, только когда нужно. Они взяли за основу индуцированные плюрипотентные стволовые клетки и с помощью технологии CRISPR/Cas научили их производить антагонист
